Artículo Original

Infectología

Kasmera 50:e5036660, 2022

P-ISSN 0075-5222   E-ISSN 2477-9628

https://doi.org/10.5281/zenodo.5808646

Alteración de la microbiota vaginal en mujeres en edad reproductiva que asisten a un Instituto de Atención en Salud

Vaginal microbiota alteration in reproductive age women attending a Health Care Institute

Pernía Ana Gabriela. https://orcid.org/0000-0002-1934-8037. Universidad de Los Andes. Facultad de Farmacia y Bioanálisis. Departamento de Microbiología y Parasitología. Laboratorio de investigaciones en Bacteriología “Roberto Gabaldón”. Mérida-Mérida. Venezuela. anapernia_20@hotmail.com

Valero Leanisbeth. https://orcid.org/0000-0002-0276-2856. Universidad de Los Andes. Facultad de Farmacia y Bioanálisis. Departamento de Microbiología y Parasitología. Laboratorio de investigaciones en Bacteriología “Roberto Gabaldón”. Mérida-Mérida. Venezuela. leanisbethvalero@gmail.com

Alviarez-Vargas María Evelyn. https://orcid.org/0000-0001-5831-2232. Universidad de Los Andes. Facultad de Farmacia y Bioanálisis. Departamento de Microbiología y Parasitología. Laboratorio de investigaciones en Bacteriología “Roberto Gabaldón”. Mérida-Mérida. Venezuela. marieve1974@gmail.com

González-Romero Ana Carolina (Autora de Correspondencia). https://orcid.org/0000-0002-4899-6076. Universidad Nacional del Chimborazo. Facultad de Ciencias de la Salud. Carrera de Laboratorio Clínico. Riobamba-Chimborazo. Ecuador. Universidad de Los Andes. Facultad de Farmacia y Bioanálisis. Departamento de Microbiología y Parasitología. Laboratorio de investigaciones en Bacteriología “Roberto Gabaldón”. Mérida-Mérida. Venezuela. Dirección Postal: Av. Antonio José de Sucre Km 1 ½ vía a Guano, Riobamba-Chimborazo. Ecuador. Teléfono: 0967278136. Email: anacarolinagonzalezromero@gmail.com

Resumen

Las infecciones de la vagina son el resultado de un conjunto de factores tanto externos como internos que alteran la microbiota vaginal. Objetivo determinar la alteración de la microbiota vaginal en mujeres en edad reproductiva que acudieron a consulta ginecológica en el IPASME-Mérida-Venezuela, así como establecer la relación de algunas variables clínicas, microbiológicas y factores de riesgos con los diferentes tipos de entidades clínicas. Se realizó un estudio descriptivo de corte transversal en 40 mujeres a quienes se les hizo una entrevista según un cuestionario estructurado y un examen ginecológico. El diagnóstico clínico y microbiológico de vaginosis bacteriana, se realizó mediante los criterios de Amsel y mediante la evaluación, según los criterios de Nugent del extendido teñido con la coloración de Gram. El 47,5 % de las mujeres presentaron microbiota vaginal alterada, con una prevalencia del 30% de vaginosis bacteriana, seguida de un 10 % de vulvovaginitis candidiásica y 6.5 % de tricomoniasis. Se encontró una relación estadísticamente significativa (p< 0,05) entre la vaginosis bacteriana y los criterios de Amsel. El extendido de la secreción vaginal, teñido con la coloración de Gram confirmó el diagnóstico de vaginosis bacteriana.

Palabras claves: microbiota, vaginosis bacteriana, candidiasis, tricomoniasis, Gram, examen ginecológico.

Abstract

Vaginal Infections are the result of a set of external and internal factors that alter the vaginal microbiota. Objective to determine the alteration of the vaginal microbiota in women of reproductive age who attended a gynecological consultation at the IPASME-Mérida -Venezuela, as well as establishing the relationship of some clinical and microbiological variables and risk factors with the different types of clinical entities. A descriptive cross-sectional study was carried out in 40 women who were interviewed according to a structured questionnaire and a gynecological examination. The clinical and microbiological diagnosis of bacterial vaginosis was made using the Amsel criteria and by evaluation, according to the Nugent criteria, of the smear stained with the Gram stain. 47.5% of the women presented altered vaginal microbiota, with a 30% prevalence of bacterial vaginosis, followed by 10% of candidal vulvovaginitis and 6.5% of trichomoniasis. A statistically significant relationship (p <0.05) was found between bacterial vaginosis and the Amsel criteria. The smear of vaginal discharge, stained with the Gram stain, confirmed the diagnosis of bacterial vaginosis.

Keywords: microbiota, bacterial vaginosis, candidiasis, trichomoniasis, Gram, gynecological examination.

Recibido: 02/09/2021 | Aceptado: 18/11/2021 | Publicado: 01/01/2022

Como Citar: Pernía AG, Valero L, Alviarez-Vargas ME, González-Romero AC. Alteración de la microbiota vaginal en mujeres en edad reproductiva que asisten a un Instituto de Atención en Salud. Kasmera. 2022;50:e5036660. doi: 10.5281/zenodo.5808646

Introducción

La microbiota vaginal es el conjunto de los microorganismos que habitan en la vagina, y está formada por más de 250 especies bacterianas, constituyendo la principal línea de defensa contra la colonización de patógenos oportunistas. Aunque antes de la menarquía predomina una combinación de microbiota intestinal y cutánea, debido a los efectos de los estrógenos y progestágenos una vez iniciada la vida fértil de la mujer, empieza a proliferar en el tracto genital la especie que predominará hasta la menopausia: Lactobacillus, de la que se conocen más de 120 subtipos diferentes, y que aportará protección en la salud sexual y reproductiva de la mujer (1).

Las infecciones de la vagina son el resultado de un conjunto de factores tanto externos como internos que alteran la microbiota vaginal. Entre los factores internos está la alteración del microambiente vaginal y del PH pues la acidez vaginal, dada por los lactobacilos, evita el crecimiento de otros microorganismos y mantiene la microbiota estable (2). Entre los factores externos se encuentran la actividad sexual no protegida con condón, múltiples parejas sexuales o una nueva pareja sexual, consumo de tabaco, duchas vaginales, deficiencias del sistema inmunológico, diabetes, entre otros. Estos factores generan un desequilibrio al ecosistema y producen un crecimiento rápido de otros microorganismos patógenos, lo que puede conllevar a un aumento de los desechos metabólicos y disminución de la capacidad de la microbiota vaginal normal para inhibir el crecimiento de bacterias aerobias y anaerobias generando, a su vez, aumento de flujo vaginal, mal olor, inflamación e irritación (3,4,5).

La leucorrea es uno de los principales motivos de consulta ginecológica en mujeres de todas las edades, tanto activas sexualmente como en las inactivas, causando en muchos casos, una gran molestia para la paciente, además, suele acompañarse de otros síntomas como prurito, disuria y dispareunia (3).

La vaginosis bacteriana (VB) es la infección vaginal más frecuente, constituyendo un problema de salud pública por su asociación con patología obstétrica y ginecológica y el riesgo significativo de adquirir infecciones de transmisión sexual (ITS) (6). Se caracteriza por ser un síndrome infeccioso polimicrobiano en el cual existe una alteración del equilibrio dinámico del ecosistema vaginal, con disminución de Lactobacilos y predominio de Gardnerella vaginalis, bacterias anaerobias, y presencia de células claves (6).

Tomando en cuenta los síntomas que se presentan en las mujeres con VB el diagnóstico se basa considerando por lo menos 3 de los siguientes criterios clínicos descritos por Amsel y col. (7) secreción vaginal homogénea, blanquecino o grisáceo que puede estar presente en cantidad variable, secreción que se adhiere fácilmente a la pared vaginal y emite un olor fétido (olor amino) producto de la adición de 10% de KOH; la presencia de células clave y un aumento del pH de las secreciones vaginales mayor a 4.5. 

Además del examen clínico, el examen directo de la secreción vaginal teñido con la coloración de Gram, evaluada por el sistema de Nugent y col. (8) permite valorar y registrar la cantidad de los distintos morfotipos de las bacterias presentes en la vagina. Esta metodología consiste en asignar un puntaje que va del 0 al 10 en la escala de evaluación de la microbiota vaginal; esta escala cuantifica los siguientes morfotipos bacterianos: bacilos rectos Gram positivos (Lactobacillus sp.), bacilos pequeños Gram negativos (G. vaginalis) y bacilos Gram negativos curvos (Mobiluncus sp.). Se considera una herramienta sencilla y asequible para confirmar el diagnóstico de VB en cualquier laboratorio clínico.

Por lo antes expuesto, el objetivo del presente estudio fue determinar la alteración de la microbiota vaginal en mujeres en edad fértil que asisten a consulta ginecológica en el Instituto de Prevención y Asistencia Social del Ministerio de Educación del estado Mérida (IPASME-ME).

Métodos

Tipo y diseño de la investigación: se realizó un estudio de tipo descriptivo de corte transversal.

Población: el grupo de estudio estuvo representado por mujeres que asistieron a la consulta ginecológica en el IPASME-ME en el período entre 10 de febrero de 2018 al 15 de marzo de 2018.

Muestra: estuvo representada por 40 mujeres que asistieron a la consulta ginecológica en el IPASME-ME.

Criterios de inclusión: mujeres en edad reproductiva de 18 a 45 años, con /o sin sintomatología, que aprobaron su participación en dicha investigación a través de un consentimiento firmado.

Criterios de exclusión: pacientes que presenten sangrado genital durante el examen y aquellas que refieran uso de cremas, óvulos vaginales, duchas vaginales y en las últimas 72 horas.

Técnica de recolección de datos: para la recolección de los datos se aplicó una ficha epidemiológica previamente diseñada, con un formato con las variables de interés.

Las muestras fueron procesadas en el laboratorio de investigaciones en Bacteriología “Roberto Gabaldón”. Departamento de Microbiología y Parasitología. Facultad de Farmacia y Bioanálisis. Universidad de Los Andes. Mérida. Venezuela.

Metodología:

La toma de muestras fue realizada por el médico en el consultorio, utilizando un espéculo estéril se tomaron muestras de secreción del fondo de saco vaginal, introduciendo secuencialmente 3 hisopos estériles. El primero de ellos, se colocó en un tubo con 1 ml de solución salina fisiológica estéril para el examen directo en fresco, el segundo se utilizó para realizar frotis de secreción vaginal para su teñido con la coloración de Gram y el tercer hisopo para la determinación del pH. Además, con la muestra presente en el espéculo se realizó el test de aminas.

Las muestras se transportaron al laboratorio antes de cumplirse 2h desde la obtención de la misma.

Para el diagnóstico clínico de VB se tomaron en cuenta por lo menos tres de los criterios descritos por Amsel y col. (7). Presencia de flujo vaginal abundante y homogéneo, prueba de aminas positiva utilizando hidróxido de potasio al 10%, pH vaginal mayor de 4,5 y observación al microscopio de células claves.

Para la determinación del pH de la secreción vaginal la muestra se impregnó en una tira de papel de pH, se esperó 10 segundos para observar el cambio de color del indicador.

La prueba de Aminas volátiles de la secreción vaginal se realizó con el flujo vaginal residual contenido en el espéculo utilizado en la paciente, agregando 5 gotas de hidróxido de potasio al 10%, se esperó 10 segundos hasta detectar el olor característico.

Para el examen directo al fresco, la secreción suspendida en solución salina se centrifugó durante 10 minutos a 1500 rpm y el sedimento se colocó entre lámina y laminilla para observar con objetivo de 40X la presencia de Trichomonas, células claves, levaduras y leucocitos polimorfonucleares.

El frotis teñido con la coloración de Gram se utilizó para valorar la flora bacteriana siguiendo los criterios de Nugent y col. (8), basados en la presencia de los siguientes morfotipos: bacilos de Döderlein, bacilos curvos Gram negativos o Gram variables y cocobacilos Gram negativos. También se valoró la presencia y cantidad de leucocitos PMN y de hifas, pseudohifas y blastoconidias.

Análisis estadístico: para el análisis estadístico de los datos se utilizó el programa SPSS (Statistical Package for Social Sciences) versión 17.0.  El análisis descriptivo de los resultados se llevó a cabo a través de tablas. Se realizó el test de independencia basado en distribución de chi cuadrado para determinar la relación estadística entre la entidad clínica y los criterios de diagnóstico, edad de las pacientes y método anticonceptivo, tomando en cuenta un valor de p< 0.05 para evaluar la significancia de las variables relacionadas.

Aspectos bioéticos: este estudio fue aprobado por el comité de bioética del Departamento de Microbiología y Parasitología. Facultad de Farmacia y Bioanálisis. Universidad de Los Andes y del IPASME-ME; los pacientes firmaron un consentimiento informado para participar en el estudio. Los datos obtenidos de los pacientes se manejaron con estricta confidencialidad. El procedimiento de toma de muestra fue realizado por personal médico calificado. La investigación se enmarca en los principios fundamentales de la bioética para las investigaciones médicas en seres humanos según la declaración de Helsinki.

Resultados

Se estudiaron un total de 40 mujeres que asistieron a consulta ginecológica en el IPASME-ME, desde el 10 de febrero de 2018 hasta el 15 de marzo de 2018.

El intervalo de edad que más prevaleció entre dichas pacientes fue entre 20 a 35 años. Según la edad, las pacientes se clasificaron en menores de 20 años (30 %), entre 20-35 años (50 %) y > 35 años (20 %).

El 52,5 % (21/40) del total de las pacientes presentó microbiota vaginal normal y el 47,5 % (19/40) presentó microbiota vaginal alterada, de la cuales se apreció que el 30% (12/40) presentaron VB, 10% (4/40) vulvovaginitis candidiásica, y 7,5% (3/40) tricomoniasis (Tabla 1).

Tabla 1. Frecuencia de entidades clínicas.

Entidad clínica

(%)

Vaginosis bacteriana

12

30,0

Vulvovaginitis candidiásica,

4

10,0

Tricomoniasis

3

7,5

Ninguna

21

52,5

Total

40

100,0

Al evaluar los indicios clínicos propuestos por Amsel, se observa lo siguiente: pH mayor a 4,5 se encontró en 82,5% (33/40). Aspecto del flujo vaginal grumoso en 40 % (16/40), y homogéneo en 57,5 % (23/40). Test de aminas (positivo) en 30 % (12/40). Células claves (positivo) en 30 % (12/40) (Tabla 2).

Tabla 2. Relación entre las pacientes que presentaron microbiota normal y alterada según el criterio de Amsel

Criterio Clínico

Parámetro

%

pH

< 4,5

7

17,5

≥ 4,5

33

82,5

Aspecto del flujo vaginal

Grumoso

16

40,0

Homogéneo

23

57,5

Fluido

1

2,5

Test de aminas volátiles

Negativo

28

70,0

Positivo

12

30,0

Células claves

Presentes

12

30,0

Ausentes

28

70,0

Concretamente, con respecto a la aplicación de los criterios clínicos de Amsel para el diagnóstico de VB, aparecen 12 casos positivos de esta entidad al cumplir tres de dichos criterios. Se encontró una relación estadísticamente significativa (p<0,05) entre la VB y presencia de células claves, pH >4.5; prueba de aminas positiva.

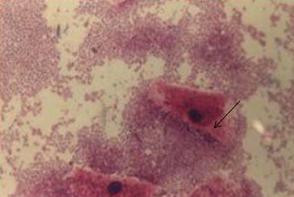
El diagnóstico de VB y de otras entidades fue confirmado al evaluar el examen directo de la secreción vaginal teñido con la coloración de Gram y al observar la microbiota lactobacilar aumentada, representada por bacilos Gram positivos, en las pacientes con microbiota normal, y disminuida o ausente, asociada a cocobacilos Gram negativos o Gram variables, en las pacientes con VB (puntaje de Nugent ≥ 7). En estas pacientes, también se apreció la presencia de células claves (Figura 1).

Figura 1. Frotis de secreción vaginal de paciente con VB teñido con Gram (Célula clave)

Considerando la interpretación de los morfotipos observados en los frotis vaginales de la muestra estudiada, siguiendo el sistema de gradación de Nugent, el test se interpretó de la siguiente manera: puntaje 0 a 3, negativo para VB  55% (22/40); puntaje 4 a 6, microbiota vaginal alterada 25% (10/40); puntaje de 7 a 10, vaginosis bacteriana 20% (8/40) (Tabla 3).

Tabla 3. Morfotipos siguiendo el sistema de gradación de Nugent

Criterios de Nugent n=40

Puntaje total de Nugent

Total

0-3 Negativo VB

4-6 Microbiota vaginal alterada

7-10 VB

(%)

(%)

(%)

(%)

0

11 (27,5)

0 (0)

0 (0)

11 (27,5)

1

9 (22,5)

0 (0)

0 (0)

9 (22,5)

3

2 (5)

0 (0)

0 (0)

2 (5,0)

4

0 (0)

4 (10)

0 (0)

4 (10,0)

5

0 (0)

4 (10)

0 (0)

4 (10,0)

6

0 (0)

2 (5)

0 (0)

2 (5,0)

7

0 (0)

0 (0)

2 (5)

2 (5,0)

8

0 (0)

0 (0)

6 (15)

6 (15,0)

Total

22 (55)

10 (25)

8 (20)

40 (100,0)

En relación a la asociación de los factores de riesgo con las distintas entidades clínicas se observó que, de las 12 pacientes con vaginosis bacteriana, 15,8 % usaron DIU, 31,6 % anticonceptivo oral (ACO) y 15,8 % usaron preservativo; de las 4 pacientes con vulvovaginitis candidiásica, 15,8 % usaron ACO y 5,3 % el preservativo; asimismo, de las 3 pacientes con tricomoniasis, 10,5 % hicieron uso del DIU y 5,3 % ACO (Tabla 4).

Tabla 4. Frecuencia de la entidad clínica de acuerdo al método anticonceptivo utilizado por las pacientes

Método anticonceptivo

Entidad clínica

Total

Vaginosis bacteriana

Vulvovaginitis candidiásica

Tricomoniasis

DIU

 

 

 

 

Número de casos

3

0

2

5

Porcentaje del total

15,8

0

10,5

26,3

ACO

 

 

 

 

Número de casos

6

3

1

10

Porcentaje del total

31,6

15,8

5,3

52,7

Preservativo

 

 

 

 

Número de casos

3

1

0

4

Porcentaje del total

15,8

5,3

0,

21,1

Total

 

 

 

 

Número de casos

12

5

3

19

Porcentaje del total

63,2

21,1

15,8

100

En cuanto, al factor de riesgo, número de parejas sexuales se evidenció, que 57,9 % de las pacientes con VB tenían más de 1 pareja al igual que 15,8% de las pacientes con vulvovaginitis candidiásica y 10,5 % con tricomoniasis (Tabla 5).

Tabla 5. Frecuencia de la entidad clínica de acuerdo al número de parejas sexuales

Número de parejas sexuales

Entidad clínica

Total

Vaginosis bacteriana

Vulvovaginitis candidiásica

Tricomoniasis

Una pareja

 

 

 

 

Número de casos

1

1

1

3

Porcentaje del total

5,3

5,3

5,3

15,8

Más de una pareja

 

 

 

 

Número de casos

11

3

2

16

Porcentaje del total

57,9

15,8

10,5

84,2

Total

 

 

 

 

Número de casos

12

4

3

19

Porcentaje del total

63,2

21,1

15,8

100,0

No se encontró una relación estadísticamente significativa entre las entidades clínicas y el uso de algún método anticonceptivo o el número de parejas sexuales de las pacientes para el momento de la toma de la muestra.

Discusión

La microbiota vaginal desempeña un papel importante en la prevención de la colonización por organismos patógenos, incluidos los agentes infecciosos de transmisión sexual y del tracto urinario, además actúa para mantener la salud reproductiva y ginecológica de la mujer. Al desaparecer el efecto protector se afecta negativamente la salud íntima de la mujer, en edad fértil, sin discriminar raza, estrato socioeconómico, nivel educativo u otros (9).

De las 40 pacientes valoradas, 47,5% presentaron alteración de la microbiota vaginal, siendo VB la infección más frecuente seguida de vulvovaginitis candidiásica y tricomoniasis. Resultados que coinciden con los reportados en otros estudios nacionales e internacionales (10-15).

Al relacionar las infecciones (VB, vulvovaginitis candidiásica y tricomoniasis) con la variable epidemiológica edad se encontró una mayor frecuencia en los grupos etarios entre 20-35 años con VB, ya que esta infección se presenta principalmente en mujeres en edad fértil y con mayor actividad sexual (12,16).

 El análisis de los diferentes indicios clínicos (criterios de Amsel) de las pacientes con leucorrea permitió realizar el diagnóstico inicial de VB. La presencia de pH >4.5, presencia de células claves y la prueba de olor a aminas positiva estuvieron más frecuentemente asociados con VB.

Por otro lado, en una investigación realizada por Merchán y col. (16) aplicando estos criterios, reportaron el test de aminas positivo, la presencia de flujo vaginal y células claves, como los principales relacionados con VB.

En el presente estudio, en las pacientes con VB se observó como el indicador más frecuente el pH> 4.5, sin embargo, es importante considerar que la variación en el pH se puede producir por múltiples razones, por lo tanto, este signo por sí solo no es suficiente para efectuar el diagnóstico debe también tomarse en cuenta la presencia de otros parámetros como la prueba de KOH positiva y células claves (19), aunque debido a la frecuencia con la cual se informa y a que es económico y fácil de efectuar es de gran valor en los servicios de salud de bajos recursos.

Cabe señalar, que para la detección de células clave en las muestras en fresco se requiere experiencia con el hallazgo de las mismas, además en muchos consultorios de hospitales, clínicas, no hay microscopios o son usados de manera infrecuente por lo que el test de aminas con hidróxido de potasio al 10% y un pH vaginal >4.5 efectuado al momento de la consulta facilitaría el diagnóstico clínico y la conducta del médico ginecólogo (16).

Sánchez- Hernández y col. (17), han reportado reacción positiva a la prueba de KOH a pesar de no encontrar las células “clave” a la observación microscópica, lo que apoya que la prueba con KOH se considere de alta utilidad al momento de sospecha de VB, y el hallazgo de células “clave” deberá considerarse de baja frecuencia para el diagnóstico.

De acuerdo a lo informado en varios estudios (16,17,18), se puede decir que los criterios de Amsel son  más subjetivos que la información aportada por la tinción de Gram para el diagnóstico de VB, e infecciones como la tricomoniasis pueden compartir algunas de esas características clínicas, de modo que podrían escapar falsos positivos en la evaluación de la población de estudio,  si bien es cierto que el método de Nugent es quizás menos empleado para el diagnóstico en la práctica diaria ha demostrado elevada sensibilidad y especificidad para la pesquisa de VB, esto sugiere que es el adecuado para ser utilizado en los servicios de salud locales (9,16).

 El método de Nugent consiste en la evaluación de los morfotipos bacterianos presentes en la secreción vaginal después de una tinción de Gram. Durante la VB se puede observar una disminución de bacilos rectos Gram positivos compatibles con Lactobacillus, aumento de cocos y bacilos Gram variables, compatibles con Gardnerella, y de bacilos Gram negativos curvados (Mobiluncus), así como también células clave (células del epitelio vaginal con cocobacilos adheridos) y ausencia de leucocitos (9). Tomando en cuenta estas consideraciones se confirmó el diagnóstico de VB en este estudio.

En Latinoamérica, también existe coincidencia relativa, tanto en la metodología, como en los resultados, al comparar con trabajos científicos previos, como el de López y col., (18) quienes encontraron una prevalencia de VB de 23,7 %, empleando la técnica con la coloración de Gram y los criterios de Nugent utilizados para el diagnóstico de VB.

Asimismo, Mejía y col. (19) en Bogotá-Colombia, determinaron una prevalencia de VB del 39,6 %, concluyendo metodológicamente, que el diagnóstico microbiológico, incrementa su sensibilidad y especificidad al combinarlo con la prueba de aminas y el pH vaginal procedimiento empleado en la presente investigación.

En la actualidad se dispone de pruebas moleculares para el diagnóstico de VB. Aunque su costo es relativamente elevado, resultan rápidas, reproducibles y con una alta especificidad para identificar bacterias como Gardnerella (20). Sin embargo, el diagnóstico microbiológico, basado en el examen microscópico de la secreción vaginal, ha demostrado ser un método confiable, rápido y con una buena reproducibilidad y con una mejor relación costo-beneficio (21).

En relación a la asociación de las tres infecciones con determinados factores de riesgos ( de parejas sexuales y método anticonceptivo), haciendo referencia al número de pareja sexual, el hecho de tener más de una pareja se asoció en mayor grado en las tres entidades: VB, vulvovaginitis candidiásica y tricomoniasis, especialmente en la primera de ellas tal como se informan en otras investigaciones (5,18). En el caso del método anticonceptivo, el uso de ACO, se asoció al incremento de infecciones como VB y vulvovaginitis candidiásica.

De acuerdo al uso del preservativo, hay un bajo grado de ocurrencia para VB y vulvovaginitis candidiásica, mientras que en tricomoniasis había inexistencia de la afectación con el uso del mismo. Estudios anteriores, habían informado la asociación del uso de condones con disminución del riesgo de VB (22,23), ya que se ha investigado el efecto de condones sobre la colonización vaginal por lactobacilos y concluyen que el uso constante de condones aumenta la colonización de Lactobacillus crispatus en la vagina y puede proteger contra VB.

La VB fue la principal infección encontrada seguida de vulvovaginitis candidiásica y tricomoniasis. En los criterios de Amsel la presencia de pH vaginal mayor a 4.5%, células claves y la prueba de aminas positiva, se usaron para el diagnóstico clínico de la VB. Siendo los criterios de Nugent el método empleado para el diagnóstico microbiológico de VB. Es importante destacar que el diagnóstico correcto y oportuno de estas infecciones no debe basarse sólo en las características clínicas sino en la confirmación con métodos sencillos de laboratorio como la tinción de Gram evaluada por el sistema de Nugent.

Conflicto de Relaciones y Actividades

Los autores declaran no presentar conflictos de relaciones y actividades durante la realización del estudio.

Financiamiento

Esta investigación no recibió financiamiento de fondos públicos o privados, la misma fue autofinanciada por los autores.

Referencias Bibliográficas

1.      Tur-Torres MH, Alijotas-Reig J. Maternal microbiota and the major obstetric syndromes: When the enemy becomes an ally. Med Clin (Barc) [Internet]. 2018;150(4):165. Disponible en: https://www.elsevier.es/es-revista-medicina-clinica-2-linkresolver-la-microbiota-materna-grandes-sindromes-S0025775317303354 DOI: 10.1016/j.medcli.2017.04.008 PMID 28571957

2.      Onderdonk AB, Delaney ML, Fichorova RN. The Human Microbiome during Bacterial Vaginosis. Clin Microbiol Rev [Internet]. 2016;29(2):223-38. Disponible en: https://doi.org/10.1128/CMR.00075-15 DOI: 10.1128/CMR.00075-15 PMID 26864580 PMCID PMC4786887

3.      Villarreal-Ríos E, Benítez-Benítez S, Vargas-Daza ER, Martínez-González L, Galicia-Rodríguez L, Escorcia-Reyes V. Incidencia de infecciones cervicovaginales diagnosticadas por citología y no tratadas médicamente. Ginecol Obstet Mex [Internet]. 2018;86(3):186-92. Disponible en: http://www.scielo.org.mx/scielo.php?script=sci_arttext&pid=S0300-90412018000300004&lng=es&nrm=iso DOI: 10.24245/gom.v86i3.1981

4.      González C, Moreno MA, Nieves B, Flores A, Chille A, Carrero S, et al. Flora vaginal en pacientes que asisten a consulta ginecológica. Rev la Soc Venez Microbiol [Internet]. 2006;26(1):19-26. Disponible en: http://ve.scielo.org/scielo.php?script=sci_arttext&pid=S1315-25562006000100005&lng=es&nrm=iso

5.      Valencia-Arredondo M, Yepes-López WA. Prevalencia y factores asociados con vaginosis bacterianas, candidiasis y tricomoniasis en dos hospitales de los municipios de Apartadó y Rionegro-Antioquia, 2014. Iatreia [Internet]. 2018;31(2):133-44. Disponible en: https://revistas.udea.edu.co/index.php/iatreia/article/view/327278 DOI: 10.17533/udea.iatreia.v31n2a02

6.      Arnold Rodríguez M, González Lorenzo A, Carbonell Hernández T. Diagnóstico de vaginosis bacteriana. Aspectos clínicos y estudios microbiológicos. Rev Médica Electrónica [Internet]. 2014;36(3):325-38. Disponible en: http://scielo.sld.cu/scielo.php?script=sci_arttext&pid=S1684-18242014000300009

7.      Amsel R, Totten PA, Spiegel CA, Chen KCS, Eschenbach D, Holmes KK. Nonspecific vaginitis: Diagnostic criteria and microbial and epidemiologic associations. Am J Med [Internet]. 1983;74(1):14-22. Disponible en: https://doi.org/10.1016/0002-9343(83)91112-9 DOI: 10.1016/0002-9343(83)91112-9 PMID 6600371

8.      Nugent RP, Krohn MA, Hillier SL. Reliability of diagnosing bacterial vaginosis is improved by a standardized method of gram stain interpretation. J Clin Microbiol [Internet]. 1991;29(2):297-301. Disponible en: https://doi.org/10.1128/jcm.29.2.297-301.1991 DOI: 10.1128/jcm.29.2.297-301.1991 PMID 1706728 PMCID PMC269757

9.      Romero Herrero D, Andreu Domingo A. Vaginosis bacteriana. Enferm Infecc Microbiol Clin [Internet]. 2016;34(Suppl 3):14-8. Disponible en: https://www.elsevier.es/es-revista-enfermedades-infecciosas-microbiologia-clinica-28-articulo-vaginosis-bacteriana-S0213005X16302142 DOI: 10.1016/S0213-005X(16)30214-2 PMID 27474242

10.    Cristina A, Macías V, Olga I, Cañete D, Rodríguez IA. Diagnóstico y prevalencia de las infecciones vaginales en el Hospital General de Huambo, Angola. Panor Cuba y Salud [Internet]. 2018;13:306-9. Disponible en: https://dialnet.unirioja.es/servlet/articulo?codigo=7322745

11.    Spengler González L, Ayala Rodríguez I, García Rodríguez A. Infecciones cervicovaginales en exudados vaginales. Rev Cuba Med Mil [Internet]. 2020;49(3):e0200578. Disponible en: http://scielo.sld.cu/scielo.php?script=sci_arttext&pid=S0138-65572020000300008&lng=es

12.    Abdul-Aziz M, Mahdy MAK, Abdul-Ghani R, Alhilali NA, Al-Mujahed LKA, Alabsi SA, et al. Bacterial vaginosis, vulvovaginal candidiasis and trichomonal vaginitis among reproductive-aged women seeking primary healthcare in Sana’a city, Yemen. BMC Infect Dis [Internet]. 2019;19(1):879. Disponible en: https://doi.org/10.1186/s12879-019-4549-3 DOI: 10.1186/s12879-019-4549-3 PMID 31640583 PMCID PMC6805389

13.    Ramírez-González DD, del Valle-Urrutia D. Prevalencia de vaginosis bacteriana y factores asociados en mujeres de edad reproductiva. Ciencia, Tecnol y Salud [Internet]. 2017;4(2):281. Disponible en: https://revistas.usac.edu.gt/index.php/cytes/article/view/505 DOI: 10.36829/63CTS.v4i2.505

14.    Agarón S, Valencia M, Cardona J. Factores Clínicos y Sexuales Asociados con Vaginosis Bacteriana, Cándida spp. y Trichomonas spp. en una Institución Prestadora de Servicios de Salud de Medellín (Colombia). Arch Med [Internet]. 2018;14(29):1-9. Disponible en: http://www.archivosdemedicina.com/medicina-de-familia/factores-cliacutenicos-y-sexuales-asociados-con-vaginosis-bacteriana-caacutendida-spp-y-trichomonas-spp-en-una-institucioacuten-pr.pdf

15.    Rojas Jiménez S, Lopera Valle JS, Rodríguez Padilla LM, Martínez Sánchez LM. Infecciones vaginales en pacientes gestantes de una clínica de alta complejidad de Medellín-Colombia. Arch Med. 2016;16(1):32-42. Disponible en: https://revistasum.umanizales.edu.co/ojs/index.php/archivosmedicina/article/view/790 DOI: 10.30554/archmed.16.1.790.2016

16.    Merchán-Villafuerte KM, León-Granadillo AE, Valero-Cedeño NJ, Quiroz-Villafuerte VM, Álava-Villafuerte MJ. Vaginosis bacteriana en mujeres ecuatorianas en edad reproductiva: epidemiologia y efectividad de los criterios diagnósticos. Dominio las Ciencias [Internet]. 2020;6(1):236-65. Disponible en: https://www.dominiodelasciencias.com/ojs/index.php/es/article/view/1373 DOI: 10.23857/dc.v6i1.1373

17.    Sánchez Hernández JA, Rivera A, Cortés Domínguez O, Muñoz Zurita G, Huerta Romano JF, Galindo Paz D. Diagnóstico microscópico versus prueba de hidróxido de potasio (KOH) para el diagnóstico de Gardnerella vaginalis. Enfermedades Infecc y Microbiol [Internet]. 2017;37(2):45-9. Disponible en: https://www.medigraphic.com/cgi-bin/new/resumen.cgi?IDARTICULO=86091

18.    López-Torres L, Chiappe M, Cárcamo C, Garnett G, Holmes K, García P. Prevalencia de vaginosis bacteriana y factores asociados en veinte ciudades del Perú. Rev Peru Med Exp Salud Publica [Internet]. 2016;33(3):448-54. Disponible en: http://www.scielo.org.pe/scielo.php?script=sci_arttext&pid=S1726-46342016000300009 DOI: 10.17843/rpmesp.2016.333.2350

19.    Mejía-Pérez D, Ángel-Müller E, Rodríguez-Hernández AE, Ruiz-Parra AI, Tolosa-Ardila JE, Gaitán-Duarte H. Características operativas del diagnóstico clínico con y sin pruebas de consultorio (pH y prueba de aminas) para el diagnóstico de vaginosis bacteriana, en pacientes sintomáticas en Bogotá, Colombia. Rev Colomb Obstet Ginecol [Internet]. 2015;66(4):253-62. Disponible en: https://revista.fecolsog.org/index.php/rcog/article/view/292 DOI: 10.18597/rcog.292

20.    Romero-Morelos P, Bandala C, Jiménez-Tenorio J, Valdespino-Zavala M, Rodríguez-Esquivel M, Gama-Ríos RA, et al. Bacterias relacionadas con vaginosis bacteriana y su asociación a la infección por virus del papiloma humano. Med Clin (Barc) [Internet]. 2019;152(1):1-5. Disponible en: https://www.sciencedirect.com/science/article/pii/S0025775318300873 DOI: 10.1016/j.medcli.2018.01.027 PMID 29544661

21.    Santos Fonseca RS, Casado Méndez PR, Méndez Jiménez O, Martínez Méndez V, Jiménez Almaguer D, Cordoví Álvarez LC. Efectividad del sistema de puntuación de Nugent en el diagnóstico de vaginosis bacteriana. Arch Médico Camagüey [Internet]. 2017;21(6):729-39. Disponible en: http://www.revistaamc.sld.cu/index.php/amc/article/view/5169

22.    Ma L, Lv Z, Su J, Wang J, Yan D, Wei J, et al. Consistent Condom Use Increases the Colonization of Lactobacillus crispatus in the Vagina. PLoS One [Internet]. 2013;8(7):e70716. Disponible en: https://doi.org/10.1371/journal.pone.0070716 DOI: 10.1371/journal.pone.0070716 PMID 23894682 PMCID PMC3720897

23.    Singh A, Kanti V, Dayal S, Kumar Shukla S, Mishra N. Prevalence and Risk Factors of Bacterial Vaginosis Among Women of Reproductive Age Attending Rural Tertiary Care Institute of Western Uttar Pradesh. J Evol Med Dent Sci. 2016;5(43):2695-701. DOI: 10.14260/jemds/2016/630

Contribución de los Autores

PAG: conceptualización, metodología, validación, análisis formal, investigación, recursos, curación de datos, redacción-preparación del borrador original, redacción-revisión y edición, visualización, supervisión, planificación y ejecución, administración de proyectos, adquisición de fondos. VL: conceptualización, metodología, validación, análisis formal, investigación, recursos, curación de datos, redacción-preparación del borrador original, redacción-revisión y edición, visualización, supervisión, planificación y ejecución. AVME: análisis formal, investigación, recursos, curación de datos, redacción-preparación del borrador original, redacción-revisión y edición, visualización, supervisión, planificación y ejecución, administración de proyectos, adquisición de fondos. GRAC: conceptualización, metodología, validación, análisis formal, investigación, recursos, curación de datos, redacción-preparación del borrador original, redacción-revisión y edición, visualización, supervisión, planificación y ejecución, administración de proyectos, adquisición de fondos.

©2022. Los Autores. Kasmera. Publicación del Departamento de Enfermedades Infecciosas y Tropicales de la Facultad de Medicina. Universidad del Zulia. Maracaibo-Venezuela. Este es un artículo de acceso abierto distribuido bajo los términos de la licencia Creative Commons atribución no comercial (https://creativecommons.org/licenses/by-nc-sa/4.0/) que permite el uso no comercial, distribución y reproducción sin restricciones en cualquier medio, siempre y cuando la obra original sea debidamente citada.