Artículo Original

Bacteriología/Epidemiología

Kasmera 48(2):e48232378, Julio-Diciembre, 2020

ISSN 0075-5222   E-ISSN 2477-9628

https://doi.org/10.5281/zenodo.4081865

Epidemiología molecular de Klebsiella pneumoniae resistentes a los antibióticos betalactámicos aislados de centros asistenciales del estado Aragua-Venezuela

Molecular epidemiology of Klebsiella pneumoniae resistant to beta-lactams antibiotics isolated from health centers of Aragua State-Venezuela

Sierra Lisbeth. https://orcid.org/0000-0001-5560-3683. Laboratorio Bioanálisis del Centro C.A. Departamento de Pruebas Especiales. Maracay-Aragua. Venezuela. E-mail: lisbethcarolinasierra@gmail.com

Vásquez Ysvette. https://orcid.org/0000-0002-4891-2928. Hospital de los Samanes. Laboratorio de Bacteriología. Maracay-Aragua. Venezuela. E-mail: Ysvevasquez@hotmail.com

Pérez-Ybarra Luis. http://orcid.org/0000-0003-0743-7953. Universidad de Carabobo. Facultad de Ciencias de la Salud. Escuela de Bioanálisis Sede Aragua. Departamento de Ciencias Básicas. Maracay-Aragua. Venezuela. E-mail: lmpy2005@gmail.com

Méndez-López María Victoria (Autora de correspondencia). https://orcid.org/0000-0002-5712-6267. Universidad de Carabobo. Facultad de Ciencias de la Salud. Escuela de Bioanálisis Sede Aragua. Departamento Clínico Integral. Prácticas Profesionales de Bacteriología. Maracay-Aragua. Venezuela. Dirección Postal: Final Av. Ruiz Pineda, La Morita II. Universidad de Carabobo. Facultad de Ciencias de la Salud. Departamento Clínico Integral. Telefono: +584144748241. E-mail: mvmendezster@gmail.com

Resumen

La resistencia de K. pneumoniae a los antibióticos β-lactámicos es un problema de salud pública. El objetivo fue caracterizar por epidemiología molecular aislados de K. pneumoniae resistentes a los antibióticos β-lactámicos en cuatro Centros Asistenciales del Estado Aragua y establecer asociaciones entre los genotipos con la resistencia y las variables epidemiológicas. Se procesaron 72 cepas de K. pneumoniae y su resistencia a β-lactámicos se realizó según las directrices del CLSI. Para la detección fenotípica de β-lactamasa de Espectro Extendido (BLEE) se usó la sinergia de doble disco, mientras que para detectar metalobetalactamasa (MBLs), carbapemenasas (KPC) y AmpC inducible se utilizaron las combinaciones de discos de EDTA/imipenem/meropenem, ácido fenilborónico/meropenem/imipenem y piperacilina tazobactam/ceftazidima/Imipenem/cefoxitin respectivamente. La tipificación molecular se realizó por la reacción en cadena de la polimerasa de las secuencias repetitivas extragénicas palindrómicas. Solo 35 cepas (48,6%) fueron resistentes a todos los β-lactámicos. El 34,29%; 31,43% y 31,43% resultaron ser productoras de BLEE, KPC y MBLs respectivamente, y 2,86% AmpC inducible. Se identificaron siete genotipos, donde el tipo B agrupó 23 cepas idénticas que se diseminan clonalmente. Se encontró una relación estadísticamente significativa entre el genotipo, la edad y el género. En conclusión, K. pneumoniae es altamente resistente a los antibióticos β-lactámicos.

Palabras claves: Klebsiella pneumoniae, epidemiología molecular, resistencia antibiótica, beta-lactamasas

Abstract

K. pneumoniae resistance to β-lactam antibiotics is a public health problem. The objective was to characterize by molecular epidemiology isolates of K. pneumoniae resistant to β-lactams in four Health Centers of the Aragua State and establish the association between genotypes with resistance and epidemiological variables. 72 strains of K. pneumoniae were processed and their resistance to β-lactams was performed according to the CLSI guidelines. Double disc synergy was used for phenotypic detection of Extended Spectrum β-lactamase or ESBL. Combinations of EDTA/imipenem/meropenem; phenylboronic acid/meropenem/imipenem and piperacillin tazobactam/ ceftazidime/Imipenem/cefoxitin were used to detect metallo-beta-lactamase or MBLs, carbapenemases (KPC) and inducible AmpC respectively. Molecular typing was performed by polymerase chain reaction of palindromic extragenic repetitive sequences. Only 35 strains (48.6%) were resistant to all β-lactams. 34.29%; 31.43% and 31.43% turned out to be ESBL, KPC and MBLs respectively, and 2.86% inducible AmpC. Seven genotypes were identified, where type B grouped 23 genetically identical strains and clonally spreaded. A statistically significant relationship was found between genotype, age and gender. In conclusion, K. pneumoniae is highly resistant to β-lactams.

Keywords: Klebsiella pneumoniae, molecular epidemiology, antibiotics resistance, beta-lactamases.

Recibido: 02-06-2020 / Aceptado: 08-09-2020 / Publicado: 16-10-2020

Como Citar: Sierra L, Vásquez Y, Pérez-Ybarra L, Méndez-López MV. Epidemiología molecular de Klebsiella pneumoniae resistentes a los antibióticos betalactámicos aislados de centros asistenciales del estado Aragua-Venezuela. Kasmera. 2020;48(2):e48232378. doi: 10.5281/zenodo.4081865

Introducción

Para la Organización Mundial de la Salud (OMS), la resistencia antimicrobiana ha sido considerada como una de las mayores amenazas para la salud mundial, la seguridad alimentaria y el desarrollo (1). Klebsiella pneumoniae se ha asociado a infecciones respiratorias, del tracto urinario, intrabdominales y bacteriemias, adquiridas intrahospitalariamente o en la comunidad, y caracterizándose por sus perfiles de resistencia a múltiples antibióticos, así como por causar brotes y epidemias; por lo que la diseminación de K. pneumoniae resistente a los antibióticos β-lactámicos la convierte en una amenaza a la salud pública (2).

Entre los mecanismos de resistencia a β-lactámicos está la producción de enzimas inactivadoras como las β-lactamasas de espectro extendido (BLEE), y las β-lactamasas con serinas en su sitio activo que funcionan como cefalosporinasas denominadas AmpC, confiriéndole a K. pneumoniae resistencia a todos los antibióticos de este grupo con excepción de los carabapenemos (3). Adicionalmente, existen las carbapenemasas, entre las que se identifican con mayor frecuencia las del tipo KPC (Klebsiella pneumoniae carbapenemasa), NDM-1 (New Deli Metalobetalactamasa), MBLs (Metalobetalactamasa), OXA-48 y OXA-181 que hidrolizan oxacilina y cloxaciclina (4), capaces de inactivar a los antibióticos β-lactámicos que incluyen penicilinas, cefalosporinas, cefamicinas, monobactámicos y los carbapenemos (4).

Entre las técnicas de tipificación genética para los miembros del orden Enterobacteriales se encuentra la amplificación por la reacción en cadena de la polimerasa (PCR por sus siglas en inglés polimerase chain reaction) de las secuencias repetitivas extragénicas palindrómicas (secuencias REP), conocida como REP-PCR. El polimorfismo detectado resulta de la variabilidad en la repetición de dichas secuencias y de la distancia entre copias continuas causadas por inserciones o deleciones del ADN (5).

Bailón y Sacsaquispe (6), estudiaron la caracterización por métodos fenotípicos y de biología molecular de siete cepas de K. pneumoniae productoras de BLEE, en pacientes con bacteriemia en el servicio de neonatología de un hospital de Lima-Perú, utilizando las técnicas de ERIC-PCR, REP-PCR y electroforesis de campo pulsado (PFGE), demostrando que existía relación clonal entre cinco de los aislamientos, por lo que se trataba de una cepa única que se estaba transmitiendo activamente.

Así mismo, en Venezuela, Tedesco y col (7), analizaron 13 cepas de K. pneumoniae productoras de BLEE aisladas de pacientes adultos con infección intrahospitalaria mediante PFGE, demostrando que las cepas presentaron patrones genéticos diferentes, descartando una posible relación clonal, a excepción de dos aislados que presentaron patrones genéticos indistinguibles entre sí, concluyendo que no hubo diseminación clonal de K. pneumoniae productoras de BLEE.

González y col (8), en el Hospital Universitario de Los Andes (HULA)-Venezuela, investigaron fenotípicamente la producción de BLEE, la presencia de genes bla, y aplicaron la técnica de REP-PCR en 17 cepas de K. pneumoniae, aisladas de neonatos con infección nosocomial de la Unidad de Alto Riesgo Neonatal (UARN), y 11 aislados de esta especie bacteriana obtenidas a partir de muestras clínicas de pacientes de la Unidad de Cuidados Intensivos del adulto (UCIa). De acuerdo a sus resultados, el 41,2% de las cepas aisladas del UARN presentaron al menos un gen bla de los investigados, mientras que 91% de los aislados de UCIa fueron BLEE positivo y amplificaron para alguno de los genes bla. Además, las cepas de K. pneumoniae estudiadas demostraron una alta diversidad genética mediante la técnica de REP-PCR.

Pineda-García y col (9), analizaron los parámetros epidemiológicos de 49 pacientes del Hospital Escuela Universitario de Tegucigalpa-Honduras, en los que se aisló K. pneumoniae productoras de BLEE, de acuerdo a sus resultados, no encontraron relación estadísticamente significativa con la edad y genero de los pacientes, sin embargo, hubo significancia estadística con los días de hospitalización. Adicionalmente, encontraron que un alto porcentaje de los pacientes presentaron enfermedades asociadas como diabetes mellitus, cardiopatía y enfermedad obstructiva crónica.

En el estado Aragua, Venezuela, no existen estudios previos de K. pneumoniae que incluyan la resistencia a antibióticos β-lactámicos por BLEE, KPC, MLB y AMPc asociados a la epidemiología molecular. Por lo antes expuesto, el objetivo del presente estudio fue caracterizar por epidemiología molecular aislados de K. pneumoniae resistentes a β-lactámicos provenientes de Centros Asistenciales del Estado Aragua-Venezuela y establecer la asociación entre los genotipos identificados con los mecanismos de resistencia encontrados y las variables epidemiológicas.

Métodos

Tipo y diseño de la investigación: la investigación fue descriptiva y de corte transversal, realizada durante los meses de febrero y marzo del 2015.

Población y muestra: la población estuvo representada por los pacientes que asistieron a cuatro centros asistenciales (CA) del estado Aragua, tres de ellos eran públicos y uno privado. Entre los CA públicos se incluyó un hospital tipo IV, con capacidad de atención de 400.000 personas al mes y 551 camas de hospitalización, un hospital tipo III de 200 camas y con capacidad de atención de 10.000 pacientes por mes y un hospital de menor capacidad con 51 camas de hospitalización que atiende en promedio 600 pacientes al mes, mientras que el CA privado cuenta con servicios de hospitalización y atención primaria en salud. En total, entre los CA incluidos en el estudio se procesaron 771 muestras clínicas de pacientes que incluyeron secreciones de heridas, hemocultivos, urocultivos, muestras de esputo, semen y otros líquidos biológicos, a partir de las cuales se aislaron 72 cepas de K. pneumoniae.

Procesamiento de muestras clínicas e identificación de K. pneumoniae: las muestras clínicas fueron procesadas siguiendo los procedimientos microbiológicos estándar relacionados con el manejo de las muestras y el uso de los medios de cultivo descritos previamente (10). Para la identificación de K. pneumoniae se aplicaron las pruebas bioquímicas convencionales recomendados (10). Finalmente, las cepas de K. pneumoniae aisladas (n =72), se preservaron a -20 °C en caldo tripticasa-soya con glicerol al 10% hasta el momento de los ensayos de detección fenotípica de resistencia a los antibióticos β-lactámicos y las pruebas moleculares, para lo cual, dichos aislamientos fueron inoculados en agar de Mac Conkey e incubados a 35°C por 24 horas.

Determinación del perfil de resistencia a antibióticos β-lactámicos en aislados de K. pneumoniae: se utilizó el método de difusión en disco por la técnica de Kirby-Bauer según las normas del Clinical and Laboratory Standards Institute(CLSI por sus siglas en inglés) del año 2015 (M100-S23) (11), y el Manual de procedimientos del Instituto Nacional de Enfermedades Argentina (ANLIS, 2014) (12), para evaluar la resistencia de K. pneumoniae a cefalosporinas de tercera generación y a carbapenemos. Como controles se utilizaron las cepas de E. coli ATCC 25922 y K. pneumoniae ATCC 700603.

Para la detección fenotípica de BLEE se usó el ensayo de sinergia de doble disco con: amoxicilina/ácido clavulánico (AMC) (30 µg BioDiscs), Cefotaxime (CTX-30 µg BBL) y Ceftazidima (CAZ-30 µg BBL), estableciendo una distancia de separación de 20 mm entre cada uno de los discos. Asimismo, se utilizaron discos combinados de ceftazidime (CAZ) (30 µg/BBL), Ceftazidime/ácido clavulánico (CAZ/CAZ-CLA) (30/10µg/BBL), cefotaxime (CTX) (30 µg/BBL), cefotaxime/ácido clavulánico (CTX/CTX-CLA) (30/10 µg/BBL) según las recomendaciones del CLSI (2015, M100-S23) para la verificación de BLEE (11-13).

En el caso de la detección de resistencia por producción de AmpC inducible se utilizaron las siguientes combinaciones de discos a una distancia de 27mm centro-centro: CAZ (30 µg/BBL)-IMIPENEM (IMP-10 µg HI-MEDIA), IMP (10 µg HI-MEDIA)-Piperacilina Tazobactam (TZP-100/10 µg/BBL), cefoxitina (FOX-10 µg Difco)-IMP (10 µg/ HI-MEDIA) (14). La presencia de un halo truncado indica la producción de la enzima (14).

La determinación de la resistencia a carbapenemos se realizó por la medición de los halos de susceptibilidad a los discos de (MER) (10 µg-HI-MEDIA) e IMP (10 µg HI-MEDIA) (11). Para la detección fenotípica de MBLs y KPC, se utilizó el flujograma propuesto por Instituto Nacional de Enfermedades infecciosas de Argentina y el Comité Europeo de Pruebas de Susceptibilidad a Antimicrobianos (EUCAST por sus siglas en inglés) (12,15,16). En el caso de MBLs se empleó el método de doble disco, utilizando combinaciones de discos de EDTA (1 µmol), Meropenem (MER) (10 µg-HI-MEDIA) e IMP (10 µg HI-MEDIA) (16). La detección fenotípica de KPC se realizó con la colocación de un disco de ácido borónico (APB-300 µg BBL) contiguo a los discos de (MER) (10 µg-HI-MEDIA) (12) e IMP (10 µg HI-MEDIA) (15). Adicionalmente, se usó el test de Blue-carba (Biomériux) para la detección rápida y cromogénica de la enzima siguiendo las instrucciones del fabricante.

Tipificación molecular K. pneumoniae resistente a β-lactámicos a través de la técnica de REP-PCR: para la extracción del ADN, en tubos eppendorf se colocaron de dos a 5 colonias aisladas del agar Mc-Conkey en 200 μL de agua destilada estéril, y posteriormente se calentaron a temperaturas de ebullición durante 10 minutos. Los residuos celulares se separaron por centrifugación (13,000 rpm durante 5 minutos) y el ADN disuelto en el sobrenadante se recuperó en un tubo eppendorf estéril, para continuar con la técnica de REP-PCR (8).

En la tipificación por REP-PCR se emplearon los iniciadores REP1 (5´-IIIGCGCCGICATCAGGC-3´) y REP 2 (5´-ACGTCTTATCAGGCCTAC-3´) (17). Para la amplificación de 100 ng de ADN en un volumen final de reacción de 20 µL se utilizó solución amortiguadora de reacción 1X, 0,2µM de cada dNTP, 0,2µM de cada iniciador, una unidad de Taq-ADN polimerasa recombinante (Promega®) y agua destilada. Como control positivo se empleó el lisado de la cepa de E. coli J-62, y como control negativo, la mezcla de la reacción de PCR carente de ADN. Las condiciones del termociclador fueron: desnaturalización de 94°C por 2 minutos, 30 ciclos de 94°C por 45 segundos, 50°C por 45 minuto y 68°C por 7 minutos, con una extensión final de 68°C por 15 minutos (18). Finalmente, los productos amplificados se separaron electroforéticamente a 98 V/cm por 17 horas en gel de agarosa al 1,8% con solución amortiguadora Tris Borato EDTA (TBE) 0,5X. Se utilizó como marcador de peso molecular el DNA Ladder (Biolabs®) de 100pb (18).

Técnicas e instrumentos de recolección de datos: de cada paciente se realizó la recolección de datos clínicos y epidemiológicos, incluyendo edad, sexo, muestra clínica, lugar de adquisición de la infección (ambulatorio u hospitalizado), examen solicitado, impresión diagnóstica, tratamiento de antibiótico actual (Tipo y duración), a través de una encuesta epidemiológica.

Análisis de datos: se aplicaron los criterios de Tenover y col (19) para la interpretación de los patrones genéticos generados por la prueba de REP-PCR. En ese sentido, se definen cuatro categorías de relación genética y epidemiológica: a) Cepas Indistinguibles: son aislamientos que poseen patrones que presentan bandas iguales en número y tamaño, por lo que pueden ser considerados clones y epidemiológicamente podrían ser responsables de un brote; b) Cepas estrechamente relacionadas: los patrones de bandas difieren en dos o tres bandas; c) Cepas posiblemente relacionadas: sus patrones muestran entre cuatro a seis bandas de diferencia; y d) No relacionados o cepas diferentes, cuyos patrones de bandas difieren en más de siete.

Para la construcción del dendograma se utilizó el coeficiente de similitud de Dice y el método de agrupamiento UPGMA (Unweighted Pair-Group Mathematical Average), utilizando para ello el software en línea D-UPGMA (20). Para establecer la asociación entre los genotipos identificados, los mecanismos de resistencia y las variables sociodemográficas y epidemiológicas, se aplicó la prueba de independencia de X2 considerando un resultado como estadísticamente significativo si p≤0,05, asimismo, se calcularon p-valores exactos aplicando pruebas de permutación mediante el programa SPSS 21.0 para Windows.

Aspectos bioéticos: la investigación respetó los principios de la declaración de Helsinki. Adicionalmente, los pacientes que participaron en el estudio firmaron un consentimiento informado.

Resultados

De las 72 cepas de K. pneumoniae analizadas, 35 (48,6%) presentaron resistencia a todos los antibióticos β-lactámicos. En ese sentido, fenotípicamente, el 34,29%; 31,43% y 31,43% resultaron ser productoras de BLEE, KPC y MBLs respectivamente, y un solo aislado (2,86%) fue productor de AmpC inducible (Tabla 1).

Tabla 1. Mecanismos de resistencia a los antibióticos β-lactámicos presentes en cepas K. pneumoniae.

Mecanismo de Resistencia

K. pneumoniae

F (%)

IC95%

BLEE

12 (34,29)

20,83 - 50,85

KPC

11 (31,43)

18,55 - 47,98

MβL

11 (31,43)

18,55 - 47,98

AmpC

1 (2,86)

0,51 - 14,53

Total

35 (100)

F: Frecuencias absolutas y relativas, IC95%: Intervalo al 95% de confianza para las frecuencias relativas, BLEE: betalactamasa de espectro extendido, KPC: Klebsiella pneumoniae carbapenemasas, MβL: Metalobetalactamasa. AmpC: betalactamasa del tipo AmpC.

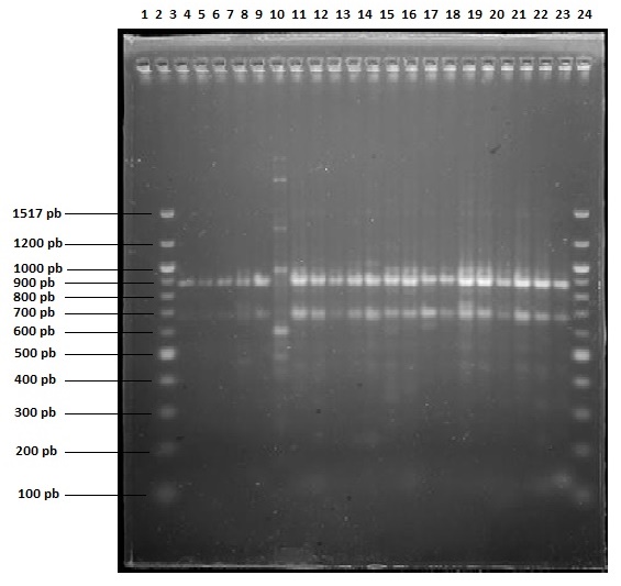
De la tipificación molecular por REP-PCR de K. pneumoniae, se generó una serie de patrones genéticos en los geles de agarosa al 1,8% que se observan en la Figura 1, los cuales fueron analizados para determinar sus relaciones genéticas. En el dendograma (Figura 2), se pudo evidenciar poca variabilidad genética en las 35 cepas que resultaron ser resistentes a β-lactámicos. En este orden de ideas, se obtuvo un total de 7 genotipos que fueron denominados A, B, C, D, E, F y G. El tipo B agrupó el mayor número de aislados (23 cepas) genéticamente idénticos, seguidos del tipo A que agrupó 6 aislados genéticamente iguales, y por el F con dos aislados agrupados, mientras que los genotipos C, D, E y G no presentaron cepas agrupadas, fueron aislados únicos, y presentaron diferencias genéticas con los tipos A y B (Figura 2).

 


 Figura 1. Tipificación molecular de cepas de K. pneumoniae resistente a los antibióticos β-lactámicos realizado por la técnica de REP-PCR. Carril 1: Control negativo, carril 2: Marcador de peso molecular 100 pb. Ladder, carril 3 al 23: Aislados clínicos de K. pneumoniae que presentaron resistencia a antibióticos β-lactámicos y carril 24: Marcador de peso molecular de 100 pb.

Figura 2. Dendograma de 35 aislados de K. pneumoniae resistentes a los antibióticos β-lactámicos derivado del análisis UPGMA realizado con el software en línea D-UPGMA

Por otra parte, al analizar la producción de mecanismos de resistencia a los antibióticos β-lactámicos según los diferentes genotipos encontrados, se observó que la producción de BLEE se concentró principalmente en el genotipo B (75%) y en menor proporción en el genotipo A (16,67%) y E (8,33%). No se encontró producción de BLEE en los genotipos C, D, F y G, (Tabla 2).

Tabla 2. Asociación entre el genotipo de K. pneumoniae y la resistencia a los antibióticos β-lactámicos

Mecanismo de resistencia

Genotipos de Klebsiella pneumoniae

 

A

B

C

D

E

F

G

Frecuencia (%)

TOTAL

χ2

p

BLEE

No

4 (17,39%)

14 (60,87%)

1 (4,35%)

1 (4,35%)

0 (0%)

2 (8,70%)

1 (4,35%)

23 (100%)

4,77

0,773

2 (16,67%)

9 (75%)

0 (0%)

0 (0%)

1 (8,33%)

0 (0%)

0 (0%)

12 (100%)

KPC

No

4 (16,67%)

17 (70,83%)

0 (0%)

1 (4,17%)

1 (4,17%)

1 (4,17%)

0 (0%)

24 (100%)

5,92

0,518

2 (18,18%)

6 (54,55%)

1 (9,09%)

0 (0%)

0 (0%)

1 (9,09%)

1 (9,09%)

11 (100%)

MBL

No

4 (16,67%)

16 (66,67%)

1 (4,17%)

0 (0%)

1 (4,17%)

1 (4,17%)

1 (4,17%)

24 (100%)

3,90

0,865

2 (18,18%)

7 (63,64%)

0 (0%)

1 (9,09%)

0 (0%)

1 (9,09%)

0 (0%)

11 (100%)

AmpC

No

6 (17,65%)

22 (64,71%)

1 (2,94%)

1 (2,94%)

1 (2,94%)

2 (5,88%)

1 (2,94%)

34 (100%)

0,54

1,000

0 (0%)

1 (100%)

0 (0%)

0 (0%)

0 (0%)

0 (0%)

0 (0%)

1 (100%)

Porcentajes calculados a lo largo de las filas. BLEE: Betalactamasa de espectro extendido. KPC: Klebsiella pneumoniae carbapenemasa. MBL: Metalobetalactamasa. AmpC: Betalactamasas del tipo AmpC, χ2: Chi-cuadrado. p: valor-p.

Respecto a la producción de KPC, el mayor número de cepas de K. pneumoniae productoras de la enzima se encontró en el genotipo B (54,55%) y en menor cantidad en los genotipos A, C, F y G, con 18,18% para A y 9,09% para C, F y G (Tabla 2). La enzima MBL se halló en mayor cantidad en el genotipo B (63,64%) y en menor cantidad en los genotipos A (18,18%), D y F 9,09% para cada caso, (Tabla 2). Asimismo, el único aislado productor de AmpC inducible fue del genotipo B. No hubo asociación estadísticamente significativa entre el genotipo y el mecanismo de resistencia para antibióticos β-lactámicos, determinándose valores de p de 0,773; 0,518; 0,865 y 1,000, para BLEE, KPC, MBL y AmpC inducible respectivamente (Tabla 2).

Respecto a las variables epidemiológicas, de los 35 pacientes infectados con K. pneumoniae con resistencia a los antibióticos β-lactámicos, la mayoría se ubicaron en el grupo etario de 14 a 60 años (20 cepas), de ellas, 18 (51,43%) pertenecían al genotipo B. Adicionalmente, se encontró asociación estadísticamente significativa entre el grupo etario y el genotipo productor de la infección (p<0,001) (Tabla 3). Por otra parte, de los 35 aislados, 60% provenían de pacientes del género femenino y 40% del masculino, siendo el genotipo B el encontrado con mayor frecuencia (42,85%) infectando a pacientes masculinos y 22,5% infectaron a las pacientes femeninas. En este caso, también se determinó la asociación entre el genotipo de K. pneumoniae resistente a β-lactámicos y género del paciente, aun cuando esta asociación no fue estadísticamente significativa, presentó un p-valor cercano a 0,05 (p=0,051), observándose que la frecuencia del genotipo A fue mayor en pacientes femeninas y el genotipo B en pacientes masculinos (Tabla 3).

Tabla 3. Asociación entre el genotipo y variables epidemiológicas de K. pneumoniae resistente a antibióticos β-lactámicos.

Variables epidemiológicas

Genotipos de Klebsiella pneumoniae

TOTAL

X2

P

A

B

C

D

E

F

G

Frecuencia (%)

Grupo etario

< 1 Año

2 (5,71%)

2 (5,71%)

1 (2,86%)

1 (2,86%)

0 (0%)

0 (0%)

0 (0%)

6 (17,1%)

46,90

<0,001

1 a 13 años

0 (0%)

1 (2,86%)

0 (0%)

0 (0%)

0 (0%)

2 (5,71%)

1 (2,86%)

4 (11,4%)

14 a 60 años

2 (5,71%)

18 (51,43%)

0 (0%)

0 (0%)

0 (0%)

0 (0%)

0 (0%)

20 (57,1%)

> 60 años

2 (5,71%)

2 (5,71%)

0 (0%)

0 (0%)

1 (2,86%)

0 (0%)

0 (0%)

5 (14,3)

TOTAL

6 (17,14%)

23 (65,71%)

1 (2,86%)

1 (2,86%)

1 (2,86%)

2 (5,71%)

1 (2,86%)

35 (100%)

Género

Femenino

5 (14,28%)

8 (22,85%)

0 (0%)

0 (0%)

1 (2,86%)

0 (0%)

0 (0%)

14 (40%)

9,79

0,051

Masculino

1 (2,86%)

15 (42,85%)

1 (2,86%)

1 (2,86%)

0 (0%)

2 (5,71%)

1 (2,86%)

21 (60%)

TOTAL

6 (17,14%)

23 (65,71%)

1 (2,86%)

1 (2,86%)

1 (2,86%)

2 (5,71%)

1 (2,86%)

35 (100%)

Tipo de muestra

Secreción de herida

3 (8,57%)

13(37,14%)

0(0%)

1(2,86%)

0 (0%)

0 (0%)

1 (2,86%)

18 (51,4%)

18,58

0,737

Orina

2 (5,71%)

4 (11,4%)

0 (0%)

0(0%)

1 (2,86%)

1 (2,86%)

0 (0%)

8 (22,9%)

Sangre

0 (0%)

3 (8,57%)

1 (2,86%)

0 (0%)

0 (0%)

1 (2,86%)

0 (0%)

5 (14,3%)

Esputo

1(2,86%)

1 (2,86%)

0 (0%)

0 (0%)

0 (0%)

0 (0%)

0 (0%)

2 (5,7%)

Semen

0(0%)

1 (2,86%)

0 (0%)

0 (0%)

0(0%)

0(0%)

0 (0%)

1(2,86%)

Otros Líquidos Biológicos

0(0%)

1(2,86%)

0 (0%)

0 (0%)

0 (0%)

0 (0%)

0 (0%)

1 (2,86%)

TOTAL

6 (17,14%)

23 (65,71%)

1 (2,86%)

1 (2,86%)

1 (2,86%)

2 (5,71%)

1 (2,86%)

35 (100%)

Tipo de atención

Pública

5 (14,29%)

14 (40%)

1 (2,86%)

1 (2,86%)

0 (0%)

1 (2,86%)

1 (2,86%)

23 (65,73%)

4,77

0,773

Privada

1 (2,86%)

9 (25,71%)

0 (0%)

0 (0%)

1 (2,86%)

1 (2,86%)

0 (0%)

12 (34,27%)

TOTAL

6 (17,14%)

23 (65,71%)

1 (2,86%)

1 (2,86%)

1 (2,86%)

2 (5,72%)

1 (2,86%)

35 (100%)

Procedencia

Ambulatorio

1 (2,86%)

8 (22,85%)

0 (0%)

0 (0%)

1 (2,86%)

1 (2,86%)

0 (0%)

11 (31,4%)

4,60

0,794

Hospitalizado

5 (14,28%)

15 (42,85%)

1 (2,86%)

1 (2,86%)

0 (0%)

1 (2,86%)

1 (2,86%)

24 (68,6%)

TOTAL

6 (17,14%)

23 (65,71%)

1 (2,86%)

1 (2,86%)

1 (2,86%)

2 (5,71%)

1 (2,86%)

35 (100%)

Porcentajes calculados en las filas. X2: Chi-cuadrado. p: valor-p.

En relación al tipo de muestra, el 51,4% de los aislados de K. pneumoniae provenían de muestras de secreción de herida, seguidos de orina (22,89%), sangre (14,3%) esputo (5,7%), semen (2,86%) y otros líquidos biológicos (2,86%). En todas las muestras analizadas predominó el genotipo B, siendo más frecuente en las secreciones de heridas (37,14%), seguido en orina (11,4%), sangre (8,57%), esputo (2,86%), semen (2,86%) y otros líquidos biológicos (2,86%). No se encontró asociación estadísticamente significativa entre el genotipo y el tipo de muestra (p=0,737) (Tabla 3).

Según el tipo de atención, de los 35 aislados de K. pneumoniae, 65,73% provenían de centros asistenciales públicos y 34,27% de los privados. En los centros asistenciales públicos, el genotipo B (40%) fue el más predominante, seguido del genotipo A (14,29%). De igual manera el genotipo B fue prevalente en el centro asistencial privado, donde 9 de 12 aislados fueron identificados como el genotipo B. Por otra parte, no se encontró asociación estadísticamente significativa entre el tipo de atención y el genotipo (p=0,773) (Tabla 3).

Finalmente, de los 35 aislados de K. pneumoniae resistentes a los antibióticos β-lactámicos 68,6% provenían de pacientes hospitalizados y 31,4% eran pacientes ambulatorios. Asimismo, el genotipo B predominó en ambos casos con 42,85% en pacientes hospitalizados y 22,85% en pacientes ambulatorios. No se encontró asociación estadísticamente significativa entre el hecho de ser hospitalizado o ambulatorio con el genotipo (p=0,794) (Tabla 3)

Discusión

Klebsiella pneumoniae es causante de las infecciones intrahospitalarias y de la comunidad (2). Este microorganismo ha cobrado vital importancia por su resistencia a los antibióticos β-lactámicos, y por el aumento de cepas productoras de KPC que han sido responsables de importantes brotes infecciosos en el mundo (2).

En el presente estudio, el 48,6% de cepas de K. pneumoniae analizadas presentó resistencia a antibióticos β-lactámicos, debido principalmente a la capacidad de estos microorganismos de producir enzimas carbapenemasas (KPC y MBLs) que representaron el 62,86% del total de cepas estudiadas, en contraste con los aislamientos clínicos productores de BLEE que correspondieron al 34,29%.

Las cepas de K. pneumoniae productoras de carbapenemasas tienen la capacidad de inactivar un amplio espectro de antibióticos: penicilinas, cefalosporinas, cefamicinas, monobactámicos y los carbapenemos (4), lo que limita las opciones de tratamiento a las infecciones causadas por este microorganismo en los CA incluidos en el estudio. Además, el hallazgo constituye una señal de alerta epidemiológica para el estado Aragua, ya que la resistencia a antibióticos β-lactámicos por producción de enzimas BLEE, KPC y MBLs es adquirida por transferencia horizontal de genes. En ese sentido, los genes que codifican estas enzimas son transmitidos a través de elementos móviles como plásmidos e integrones, lo que favorece la diseminación de la enzima entre bacterias de la misma especie o diferentes (21), incrementando la resistencia, un ejemplo está representado en el gen blaKPC que codifica para la enzima KPC (22).

El alto porcentaje de cepas K. pneumoniae productora de carbapenemasas reportadas en esta investigación es similar a los hallazgos de López-González y col (23), quienes en un estudio retrospectivo del 2014 al 2016 en un hospital de España, identificaron 301 aislados de Enterobacteriales productores de carbapenemasas, siendo K. pneumoniae (73,4%) el microorganismo más prevalente. Asimismo, Brañas y col (24) en un hospital de la comunidad de Madrid, caracterizaron fenotípica y molecularmente 231 aislados de Enterobacteriales que resultaron ser productores de carbapenemasas, donde K. pneumoniae fue la más predominante (78,9%).

Los resultados reportados en este estudio relacionados con el porcentaje de cepas de K. pneumoniae productoras de BLEE difiere a lo publicado en otras investigaciones. Perozo y col (25) en un centro de salud de Maracaibo, Estado Zulia-Venezuela, analizaron 140 cepas pertenecientes al orden Enterobacteriales, de las cuales 55 fueron productoras de BLEE y 12 (21,52%) se identificaron como K. pneumoniae, valores menores a los reportados en este estudio. Contrario al hallazgo del presente estudio, Abreu y col (26) en el Hospital Universitario del estado Mérida, demostraron que todas las cepas estudiadas de K. pneumoniae fueron productoras de BLEE. Asimismo, González y Nieves (27), reportaron altos porcentajes de cepas de K. pneumoniae productoras de BLEE en el Hospital Universitario de Los Andes, y demostraron que entre un 85,7% y 88,8% presentaron patrones fenotípicos compatibles con BLEE, hecho que fue confirmado por el análisis molecular, con la identificación de las enzimas CTX-M15, CTX-M2, SHV-12 y SHV-1.

El análisis comparativo de los patrones de ADN de K. pneumoniae obtenidos por REP-PCR resultó con poca variabilidad genética en este estudio. De hecho, de los 35 aislados de K. pneumoniae, 23 cepas fueron indistinguibles genéticamente, agrupados en lo que se denominó el genotipo B, y otros 6 genéticamente idénticos conformaron el genotipo A. El genotipo B, el más predominante, fue encontrado en los centros asistenciales públicos y el privado incluidos en el estudio. Según los criterios de Tenover y col (19) los resultados sugieren que el genotipo B se disemina clonalmente y pudiese ser responsable de un brote.

Diversas investigaciones evidencian la existencia de clones internacionales o epidémicos de K. pneumoniae en todo el mundo que están diseminándose o están involucrados en brotes (6). Por ejemplo, Bailón y Sacsaquipeen el 2013 (6), encontraron que de 7 cepas de K. pneumoniae analizadas por epidemiología molecular, 5 de ellas presentaron el mismo patrón genético, lo que sugirió la diseminación de un clon. Por su parte, Brañas y col (24) encontraron en un hospital de Madrid que el ST11 era el clon más predominante entre las cepas de K. pneumoniae productoras de carbapenemasas, mientras que González y Nieves (27) reportaron que los clones de K. pneumoniae ST60 y ST1261 productoras de BLEE causantes de un brote y diseminándose en el Hospital Universitario de Los Andes en Venezuela. Otros estudios han mostrado resultados contrarios como Falco y col. en el 2017 (17), quienes con el método de REP-PCR demostraron la presencia de K. pneumoniae productores de carbapenemasas tipo KPC con diferentes genotipos en dos Hospitales públicos de Venezuela, específicamente, en los estados Zulia y Carabobo. Por otra parte, Falco y col. (17), comprobó la existencia de genotipos distintos a través de la secuencia tipo multi-locus(MLST).

Es importante destacar que el genotipo B, además de ser clonal, presentó los diferentes fenotipos de resistencia (BLEE, KPC, MBLs, AmpC), sugiriendo la diseminación clonal del microorganismo con cualquiera de los mecanismos enzimáticos de resistencia a β-lactámicos. Adicionalmente, de acuerdo a los análisis estadísticos no se observó asociación entre los genotipos y los mecanismos de resistencia.

El análisis de los factores clínicos epidemiológicos mostró que las infecciones por K. pneumoniae resistentes a β-lactámicos predominaron en pacientes entre 14 a 60 años con significancia estadística (p≤0,05), siendo el genotipo B el más diseminado en esta población. Los resultados obtenidos son contrarios a otras investigaciones en las que se ha asociado K. pneumoniae como la causa de brotes de infección, aislado mayormente en muestras de hemocultivos de neonatos con diagnóstico de sepsis (6,28). Sin embargo, otros estudios han demostrado que la edad avanzada es factor de riesgo de infección y muerte por cepas de K. pneumoniae productoras de carbapenemasas (29).

En la presente investigación, el 60% de los aislados de K. pneumoniae infectaron pacientes del género femenino, con significancia estadística (p≤0,05), y el genotipo B fue encontrado con mayor frecuencia. Los resultados coinciden con un estudio en Colombia, que con análisis multivariado mostró que las mujeres y los pacientes con enfermedad cardiovascular de base, principalmente hipertensión arterial, y con exposición previa a ceftriaxona y carbapenemos, tienen mayor probabilidad de adquirir infección por K. pneumoniae resistente a β-lactámicos (30). Otros estudios han reportado que la exposición a antibióticos β-lactámicos, fluoroquinolonas y aminoglucósidos representan un factor de riesgo a infección por K. pneumoniae productoras de carbapenemasas (29).

El mayor número de muestras en las que se reportó K. pneumoniae fue en secreciones de heridas, lo que coincide con otros estudios (30). Asimismo, el genotipo B fue predominante en secreciones de heridas, resultado concordante con otras investigaciones que han revelado la existencia de clones de K. pneumoniae asociados con infecciones específicas (23,29).Por otra parte, se encontró que K. pneumoniae resistente a β-lactámicos fue más frecuente en los centros asistenciales públicos y en pacientes hospitalizados y con predominio del genotipo B, resultado que era de esperarse, ya que diversos estudios han demostrado la alta relación del microorganismo con infecciones intrahospitalarias y en las unidades de cuidados intensivos (29,31).

El presente estudio presentó varias limitaciones, una de ellas fue el acceso para la obtención de muestras de los CA públicos, lo que afectó el número de muestras procesadas con respecto a su capacidad de atención. Por otra parte, no fue posible comprobar por biología molecular la presencia de los genes de resistencia responsables de la producción de carbapenemasas y β-lactamasas. Asimismo, no se practicaron otras técnicas de epidemiología molecular como MLST que permitieran determinar la presencia de clones específicos en los aislados de K. pneumoniae resistentes a β-lactámicos.

En conclusión, los resultados obtenidos muestran que existe una diseminación de un genotipo predominante resistente a antibióticos β-lactámicos en los CA del Estado Aragua. Asimismo, los hallazgos del estudio tienen un aporte importante para establecer medidas de control de la diseminación de cepas de K. pneumoniae productoras de KPC, MBLs, BLEE y AmpC en los CA del Estado Aragua. Por otra parte, el conocimiento de los porcentajes de cepas productoras de BLEE y la alta resistencia a carbapenemos por producción de MBL y KPC, permitirán un manejo adecuado de la antibioticoterapia, evitando el uso de antibióticos β-lactámicos en aislados de K. pneumoniae que puedan provocar fallas de tratamiento.

Finalmente, se recomienda extender el estudio a los centros asistenciales del estado, de manera prospectiva con diversas técnicas de epidemiología molecular con mayor capacidad discriminatoria, que permitan confirmar las relaciones genéticas, así como la detección de los genes bla responsables de la resistencia a antibióticos β-lactámicos.

Conflicto de Relaciones y Actividades

Los autores declaran no presentar conflictos de relaciones y actividades.

Financiamiento

Parte del estudio contó con financiamiento del Consejo de Desarrollo Científico y Humanístico de la Universidad de Carabobo.

Agradecimientos

Al laboratorio de Al laboratorio de Genética Molecular del Instituto Venezolano de Investigaciones Científicas (IVIC), principalmente a la Dra. Aura Falco y al Dr. Howard Takiff.

Referencias Bibliográficas

1.   Organización Mundial de la Salud. Resistencia a los antibióticos [Internet]. 2020. Disponible en: https://www.who.int/es/news-room/fact-sheets/detail/resistencia-a-los-antibióticos

2.   Vera-Leiva A, Barría-Loaiza C, Carrasco-Anabalón S, Lima C, Aguayo-Reyes A, Domínguez M, et al. KPC: Klebsiella pneumoniae carbapenemasa, principal carbapenemasa en enterobacterias. Rev Chil Infectol [Internet]. 2017;34(5):476-84. Disponible en: http://www.revista.sochinf.cl/PDF-inf5-2017/9-Vera-Leiva.pdf DOI: 10.4067/S0716-10182017000500476 PMID 29488590 SciELO   Google Académico   Microsoft Académico

3.   Suárez C, Gudiol F. Antibióticos betalactámicos. Enferm Infecc Microbiol Clin [Internet]. 2009;27(2):116-29. Disponible en: http://www.sciencedirect.com/science/article/pii/S0213005X08000323 DOI: 10.1016/j.eimc.2008.12.001 PMID 19254642   Google Académico   Microsoft Académico

4.   Tzouvelekis LS, Markogiannakis A, Psichogiou M, Tassios PT, Daikos GL. Carbapenemases in Klebsiella pneumoniae and Other Enterobacteriaceae: an Evolving Crisis of Global Dimensions. Clin Microbiol Rev [Internet]. 1 de octubre de 2012;25(4):682-707. Disponible en: http://cmr.asm.org/content/25/4/682.abstract DOI: 10.1128/CMR.05035-11 PMID 23034326 PMCID PMC3485753   Google Académico   Microsoft Académico

5.   Vílchez G, Alonso G. Alcances y limitaciones de los métodos de epidemiología molecular basados en el análisis de ácidos nucleicos. Rev la Soc Venez Microbiol [Internet]. 2009;29(1):6-12. Disponible en: http://ve.scielo.org/scielo.php?pid=S1315-25562009000100003&script=sci_arttext&tlng=en SciELO Redalyc Lilacs   Google Académico   Microsoft Académico

6.   Bailón H, Sacsaquispe R. Caracterización molecular de cepas de Klebsiella pneumoniae productoras de BLEE causantes de infección intrahospitalaria en el servicio de neonatología de un hospital de Lima, Perú. Rev Medica Hered [Internet]. 8 de junio de 2013;24(2):101. Disponible en: https://revistas.upch.edu.pe/index.php/RMH/article/view/591 DOI: 10.20453/rmh.v24i2.591 SciELO Redalyc Lilacs   Google Académico   Microsoft Académico

7.   Tedesco-Maiullari RM, Guevara A. Epidemiología molecular de Klebsiella pneumoniae productora de ß-lactamasas de espectro extendido. Rev la Soc Venez Microbiol [Internet]. 2012;32(2):101-6. Disponible en: http://ve.scielo.org/scielo.php?script=sci_arttext&pid=S1315-25562012000200005 SciELO Redalyc Lilacs   Google Académico   Microsoft Académico

8.   Gaitán C SL, Espinal M PA. Caracterización molecular de Escherichia coli y Klebsiella pneumoniae productores de ß-lactamasas de espectro extendido en hospitales de la Región Caribe, Colombia. Rev Chil Infectología [Internet]. 2009;26(3):239-46. Disponible en: https://scielo.conicyt.cl/scielo.php?pid=S0716-10182009000400006&script=sci_arttext&tlng=e DOI: 10.4067/S0716-10182013000400004 PMID 24248105 SciELO Lilacs   Google Académico

9.   Pineda-Garcia L, Tzoc E, Rivera M, Herrera L, Moncada M. Caracterización clínico y epidemiológica en pacientes con infección por Enterobacteriaceae productoras de B lactamasas de espectro extendido (BLEE), Hospital Escuela Universitario, Tegucigalpa, Honduras, Año 2013. Rev Cienc y Tecnol [Internet]. 18 de diciembre de 2017;(20):50-66. Disponible en: https://www.lamjol.info/index.php/RCT/article/view/5495 DOI: 10.5377/rct.v0i20.5495   Google Académico   Microsoft Académico

10. Forbes B, Sahm D, Weissfeld A. Bailey and Scott’s Diagnostic Microbiology. 10.a ed. Mosby-Year Book; 1998. 1074 p.

11. Clinical and Laboratory Standards Institute. Performance Standards for Antimicrobial Susceptibility Testing. Twenty-Third Informational Supplement. 23th ed. CLSI. Performance Standards for Antimicrobial susceptibility Testing M100-S23. Wayne PA: Clinical and Laboratory Standards Institute; 2013. 296 p.

12. Instituto Nacional de Enfermedades infecciosas. Administración Nacional de Laboratorios y Institutos de Salud Pública “Dr. Carlos Malbrán”. Manual de procedimientos del Instituto Nacional de Enfermedades Infecciosas. 2014. Buenos Aires, Argentina: INEI-ANLIS

13. Lezameta L, Gonzáles-Escalante E, Tamariz JH. Comparación de cuatro métodos fenotípicos para la detección de beta-lactamasas de espectro extendido. Rev Peru Med Exp Salud Publica [Internet]. 2010;27(3):345-51. Disponible en: https://rpmesp.ins.gob.pe/index.php/rpmesp/article/view/1491 DOI: 10.17843/rpmesp.2010.273.1491 PMID 21152726 SciELO Redalyc Lilacs   Google Académico   Microsoft Académico

14. Martínez Rojas DDV. Betalactamasas tipo AmpC: Generalidades y métodos para detección fenotípica. Rev Soc Venez Microbiol [Internet]. 2009;29(2):78-83. Disponible en: http://ve.scielo.org/scielo.php?script=sci_arttext&pid=S1315-25562009000200003 SciELO Redalyc Lilacs   Google Académico   Microsoft Académico

15. Martinez-Martinez L, Cantón R, Stefani S, Skov R, Glupczynski Y, Nordmann P, et al. EUCAST guidelines for detection of resistance mechanisms and specific resistances of clinical and/or epidemiological importance [Internet]. 2017. Disponible en: https://www.eucast.org/fileadmin/src/media/PDFs/EUCAST_files/Resistance_mechanisms/EUCAST_detection_of_resistance_mechanisms_170711.pdf

16. Molin Queste COM. Detección Fenotípica de Carbapenemasas en Pseudomonas aeruginosa en Pacientes que acudieron al Hospital de Clínicas San Lorenzo de febrero a julio 2013. Memorias del Inst Investig en Ciencias la Salud [Internet]. 2016;14(1):25-31. Disponible en: http://scielo.iics.una.py/pdf/iics/v14n1/v14n1a05.pdf DOI: 10.18004/Mem.iics/1812-9528/2016.014(01)25-031 SciELO Lilacs   Google Académico   Microsoft Académico

17. Falco A, Barrios Y, Torres L, Sandrea L, Takiff H. Epidemiología molecular de aislados clínicos de Klebsiella pneumoniae productores de carbapenemasas tipo KPC provenientes de dos hospitales públicos en los estados Carabobo y Zulia, Venezuela. Invest Clin [Internet]. 2017;58(1):3-21. Disponible en: http://ve.scielo.org/scielo.php?pid=S0535-51332017000100002&script=sci_arttext&tlng=en PMID 29938999 Scielo Redalyc Lilacs   Google Académico   Microsoft Académico

18. Alonso G, Redondo C, Rivas J. Genotipificación de cepas de enterobacterias procedentes de 4 centros de salud del área de Caracas. Act Cient de la Soc Venez Bioanal Espec. 2006; 9 (2): 3-7   Google Académico

19. Tenover FC, Arbeit RD, Goering R V, Mickelsen PA, Murray BE, Persing DH, et al. Interpreting chromosomal DNA restriction patterns produced by pulsed-field gel electrophoresis: criteria for bacterial strain typing. J Clin Microbiol [Internet]. 1 de septiembre de 1995;33(9):2233-9. Disponible en: http://jcm.asm.org/content/33/9/2233.abstract DOI: 10.1128/JCM.33.9.2233-2239.1995 PMID 7494007 PMCID PMC228385   Google Académico   Microsoft Académico

20. Garcia-Vallvé S, Puigbo P. DendroUPGMA: Dendrogram construction using the UPGMA algorithm [Internet]. 2002. Disponible en: http://genomes.urv.es/UPGMA/index.php?entrada=Example3

21. Martínez-Martínez L, González-López JJ. Carbapenemases in Enterobacteriaceae: Types and molecular epidemiology. Enferm Infecc Microbiol Clin [Internet]. 2014;32(Suppl 4):4-9. Disponible en: http://www.sciencedirect.com/science/article/pii/S0213005X14701685 DOI: 10.1016/S0213-005X(14)70168-5 PMID 25542046   Google Académico   Microsoft Académico

22. Sun P, Bi Z, Nilsson M, Zheng B, Berglund B, Stålsby Lundborg C, et al. Occurrence of blaKPC-2, blaCTX-M, and mcr-1 in Enterobacteriaceae from Well Water in Rural China. Antimicrob Agents Chemother [Internet]. 1 de abril de 2017;61(4):e02569-16. Disponible en: http://aac.asm.org/content/61/4/e02569-16.abstract DOI 10.1128/AAC.02569-16 PMID 28115344 PMCID PMC5365680   Google Académico   Microsoft Académico

23. López-González L, Viñuela-Prieto JM, Rodriguez-Avial I, Manzano R, Candel FJ. Description of carbapenemase-producing Enterobacteriaceae isolates in a Spanish tertiary hospital. Epidemiological analysis and clinical impact. Rev Esp Quimioter [Internet]. 2019;32(3):254-62. Disponible en: https://seq.es/abstract/april-8-2/ PMID 30968674 PMCID PMC6609934   Google Académico   Microsoft Académico

24. Brañas P, Gil M, Villa J, Orellana MÁ, Chaves F. Epidemiología molecular de las infecciones/colonizaciones por enterobacterias productoras de carbapenemasas en un hospital de Madrid. Enferm Infecc Microbiol Clin [Internet]. 2018;36(2):100-3. Disponible en: http://www.sciencedirect.com/science/article/pii/S0213005X16303196 DOI: 10.1016/j.eimc.2016.10.004 PMID 27866753   Google Académico   Microsoft Académico

25. Perozo-Mena A, Marín M, Castellano M, Ling-Toledo. Eliana, Núñez D, Ginestre M, et al. Detección de Betalactamasas de espectro extendido en Enterobacteriaceae en un Centro de Salud de Maracaibo, Venezuela. Kasmera [Internet]. 2017;45(2):88-99. Disponible en: https://produccioncientificaluz.org/index.php/kasmera/article/view/23059/23068 Redalyc Lilacs DOAJ EBSCO   Google Académico   Microsoft Académico

26. Abreu S, Varela Y, Millán B, Araque M. Klebsiella pneumoniae y Escherichia coli productoras de beta-lactamasas de espectro extendido, aisladas en pacientes con infección asociada a los cuidados de la salud en un hospital universitario. Enfermedades Infecc y Microbiol [Internet]. 2014;34(3):92-9. Disponible en: https://www.medigraphic.com/cgi-bin/new/resumen.cgi?IDARTICULO=52181   Google Académico   Microsoft Académico

27. Gonzalez AC, Nieves B. Klebsiella pneumoniae resistant to third generation cephalosporins in a hospital in Venezuela: spread of ESBL producing ST70 and ST1261 clones. Eur Sci Journal [Internet]. 29 de septiembre de 2014;10(27):196-205. Disponible en: http://eujournal.org/index.php/esj/article/view/4331   Google Académico

28. Ghaith DM, Zafer MM, Said HM, Elanwary S, Elsaban S, Al-Agamy MH, et al. Genetic diversity of carbapenem-resistant Klebsiella pneumoniae causing neonatal sepsis in intensive care unit, Cairo, Egypt. Eur J Clin Microbiol Infect Dis [Internet]. 2020;39(3):583-91. Disponible en: https://doi.org/10.1007/s10096-019-03761-2 DOI: 10.1007/s10096-019-03761-2 PMID 31773363   Google Académico   Microsoft Académico

29. Wang Z, Qin R-R, Huang L, Sun L-Y. Risk Factors for Carbapenem-resistant Klebsiella pneumoniae Infection and Mortality of Klebsiella pneumoniae Infection. Chin Med J (Engl) [Internet]. 2018;131(1):56-62. Disponible en: https://journals.lww.com/cmj/Fulltext/2018/01050/Risk_Factors_for_Carbapenem_resistant_Klebsiella.9.aspx DOI: 10.4103/0366-6999.221267 PMID 29271381 PMCID PMC5754959   Google Académico   Microsoft Académico

30. Echeverri-Toro LM, Rueda ZV, Maya W, Agudelo Y, Ospina S. Klebsiella pneumoniae multi-resistente, factores predisponentes y mortalidad asociada en un hospital universitario en Colombia. Rev Chil infectología [Internet]. 2012;29(2):175-82. Disponible en: https://scielo.conicyt.cl/scielo.php?script=sci_arttext&pid=S0716-10182012000200009&lng=en&nrm=iso&tlng=en DOI: 10.4067/S0716-10182012000200009 PMID 22689033 SciELO Lilacs   Google Académico

31. Vargas CM. Infecciones nosocomiales. Acta Médica Peru [Internet]. 5 de diciembre de 2016;33(3):175-7. Disponible en: http://www.amp.cmp.org.pe/index.php/AMP/article/view/108 DOI: 10.35663/amp.2016.333.108 Scielo Lilacs   Google Académico

Contribución de los Autores

SL: conceptualización, curación de datos, Investigación, metodología y desarrollo de la investigación, validación, verificación, visualización, redacción, revisión y edición, preparación, creación y/o presentación del trabajo publicado. VY: curación de datos, investigación, metodología y desarrollo de la investigación, validación, verificación, visualización, redacción, revisión y edición. PYL: curación de datos, investigación, validación, verificación, visualización, redacción, revisión y edición, análisis formal. MLMV: conceptualización, curación de datos, investigación, metodología y desarrollo de la investigación, validación, verificación, visualización, redacción borrador original, preparación, redacción-revisión y edición, supervisión, administración del proyecto

©2020. Los Autores. Kasmera. Publicación del Departamento de Enfermedades Infecciosas y Tropicales de la Facultad de Medicina. Universidad del Zulia. Maracaibo-Venezuela. Este es un artículo de acceso abierto distribuido bajo los términos de la licencia Creative Commons atribución no comercial (https://creativecommons.org/licenses/by-nc-sa/4.0/) que permite el uso no comercial, distribución y reproducción sin restricciones en cualquier medio, siempre y cuando la obra original sea debidamente citada.