Clinical Case

Immunology

Kasmera 48(1):e48101122019, Enero-Junio, 2020

P-ISSN 0075-5222   E-ISSN 2477-9628

https://doi.org/10.5281/zenodo.3687174

Pyoderma gangrenosum in a patient with type 2 diabetes: a case report

Pioderma gangrenosa en un paciente diabético tipo 2: reporte de un caso

Toledo-Contreras Abdón. https://orcid.org/0000-0001-8874-5004. Universidad del Zulia. Facultad de Medicina. Centro de Investigaciones Endocrino-Metabólicas “Dr. Félix Gómez. Maracaibo-Zulia, Venezuela. Hospitalización Clínico de Maracaibo. Unidad de Cirugía III. Consulta de Pie Diabético. Maracaibo-Zulia, Venezuela. E-mail: abdoju@hotmail.com

Bermúdez Valmore. https://orcid.org/0000-0003-1880-8887. Universidad Simón Bolívar, Facultad de Ciencias de la Salud, Barranquilla, Colombia. E-mail: v.bermudez@unisimonbolivar.edu.co

Toledo Andrés José. https://orcid.org/0000-0003-1501-6008. Universidad del Zulia. Facultad de Medicina. Centro de Investigaciones Endocrino-Metabólicas “Dr. Félix Gómez. Maracaibo-Zulia, Venezuela. E-mail: andrestg16@hotmail.com

Salazar Juan (Corresponding Author). https://orcid.org/0000-0003-4211-528X. Universidad del Zulia. Facultad de Medicina. Centro de Investigaciones Endocrino-Metabólicas “Dr. Félix Gómez. Maracaibo-Zulia, Venezuela. Postal Address: Universidad del Zulia, Facultad de Medicina. Centro de Investigaciones Endocrino-Metabólicas "Dr. Félix Gómez", Avenida 20, Maracaibo 4004, Venezuela. Phone: +584146575583. E-mail: juanjsv18@hotmail.com

Martínez María Sofía. https://orcid.org/0000-0002-3419-0960. Universidad del Zulia. Facultad de Medicina. Centro de Investigaciones Endocrino-Metabólicas “Dr. Félix Gómez. Maracaibo-Zulia, Venezuela. E-mail: mariasofia876@hotmail.com

Rojas Edward. https://orcid.org/0000-0003-1345-942X. Rutgers University. Biomedical and Health Sciences. New Jersey Medical School. Internal Medicine Department. Newark–New Jersey, USA. E-mail: rojas187@gmail.com

Roque Willy. https://orcid.org/0000-0002-2253-0833. Rutgers University. Biomedical and Health Sciences. New Jersey Medical School. Internal Medicine Department. Newark–New Jersey, USA. E-mail: willyroque@hotmail.com

Pérez Arturo. https://orcid.org/0000-0002-6985-398X. Rutgers University. Biomedical and Health Sciences. New Jersey Medical School. Internal Medicine Department. Newark–New Jersey, USA. E-mail: ajpp103@gmail.com

Chacín-González Maricarmen. https://orcid.org/0000-0002-5208-9401. Universidad Simón Bolívar, Facultad de Ciencias de la Salud, Barranquilla, Colombia. E-mail: m.chacin@unisimonbolivar.edu.co

Rojas Joselyn. https://orcid.org/0000-0003-4994-075X. Harvard University. Harvard Medical School. Brigham and Women’s Hospital. Pulmonary and Critical Care Medicine Division. Boston- Massachusetts. 02115, USA. E-mail: j.rojas@gmail.com

Abstract

We are presenting a case of patient with type 2 diabetes mellitus that was diagnosed with a soft tissue infection in the lower extremity. This was initially treated as cellulitis and antibiotic treatment was initiated. Due to a poor clinical response, the diagnosis of pyoderma gangrenosum was proposed as part of the differential diagnosis. Skin biopsies and pathology confirmed the diagnosis of pyoderma gangrenosum that had a satisfactory response to steroid treatment.

Keywords: pyoderma gangrenosum, glucocorticoids, type 2 diabetes mellitus, surgical debridement

Resumen

Se presenta el caso de una paciente diabética tipo 2 que inicialmente fue diagnosticada como una celulitis complicada del miembro inferior izquierdo, pero ante la pobre respuesta con el tratamiento antibiótico, se consideró el diagnóstico de pioderma gangrenosa, confirmado anatomopatológicamente, con respuesta satisfactoria al tratamiento esteroideo tópico.

Palabras claves: pioderma gangrenosa, esteroides, diabetes mellitus tipo 2, desbridamiento quirúrgico

Received: 01-12-2019 / Accepted: 19-02-2020 / Published: 28-02-2020

How to Cite: Toledo-Contreras A, Bermúdez V, Toledo A, Salazar J, Martínez MS, Rojas E, Roque W, Pérez A, Chacín-González M, Rojas J. Pyoderma gangrenosum in a patient with type 2 diabetes: a case report. Kasmera. 2020;48(1):e48101122019. doi: 10.5281/zenodo.3687174

Introduction

Pyoderma Gangrenosum (PG) is an uncommon disorder with an estimated incidence of 3-10 patients per 1 million according to some epidemiological studies in Latin America (1). This disease is characterized by chronic inflammation with neutrophil infiltration and dermatosis

The etiology is idiopathic in 40-50% of the cases, however there are reports that show an association with systemic diseases in 17 to 74% of the cases (2). It can manifest as single or multiple skin lesions, that can potentially progress to purulent and necrotizing disease. These skin lesions are painful and can range in a wide variety of clinical and histological characteristics. The more recognized classification includes an ulcerative or classic type, a pustular, vegetative, bullous or atypical, periostomal vulvar, oral, extracutaneous, postsurgical, and drug-induced forms (3).

The strongest associations have been seen with systemic inflammatory diseases such as Inflammatory Bowel Disease (IBD) and Rheumatoid Arthritis (RA). Nonetheless, Diabetes Mellitus (DM) can be associated with PG in 1% of cases according to some reports. The evidence supporting the associations between type 2 diabetes mellitus and PG is weak and reports vary significantly, from associations in 1% to 12% of some case series (4).

The current management include from topical and systemic steroids to immunosupresing agents such as cyclosporine and anti TNF-alpha monoclonal antibodies. Surgical management is rarely recommended due to pathergy phenomenon (a hyper-reactivity state to traumatic lesions) and poor healing, for these reasons medical treatment have been the cornerstone of management.

Recently, some studies have reported good results using only topical steroids (5,6), however the severity of disease and selection of cases for only topical treatment, plays an important role in success rates. The objective of this study is to demonstrate the clinical progression of a diabetic patient with PG, treated with topical steroids as a way to avoid systemic steroids which would be more counterproductive in diabetic patients.

Patient`s Information

Main problem and presentation: a 57-year-old female patient with type 2 DM, diagnosed 10 years before presentation, is admitted to the Internal Medicine service for the management two skin lesions on the left leg. Symptoms started with pruritus, and continued to progress to moderate to severe pain. She denied any trauma, skin breaks or systemic symptoms.

Clinical findings: the physical examination revealed left leg ulcers with hyperemic borders in the left calf and pretibial area These lesions extended to two-thirds of the leg and converged into a single ulcer, there was no purulent discharge or bleeding (Figure 1 and 2). The laboratory testing showed a fasting glucose level of 320 mg/dl, creatinine 1.2 mg/dl, hemoglobin 11.5 g/dL, white blood cell: 9,200xmm3 with 70% neutrophils and 26% lymphocytes, and platelets 165,000 x mm3.

 

Figure 1. Extensive confluent ulcers involving two-thirds of the left leg

 


Figure 2. View of the calf region where the most extensive lesion is observed, covering 80% of the circumference of the left leg
 

Development of events (Timeline): the evolution of the lesions is displayed in Figure 3.

 


 
Figure 3. Timeline describing evolution of the skin lesions
 

Diagnostic focus and assessment: initially, the managing diagnosis was cellulitis vs. necrotizing vasculitis and the working included swab and culture of the lesions that ultimately showed Escherichia coli. The bacteria were sensitive to carbapenems and aminoglycosides and resistant to quinolones.

Therapeutic focus and assessment: intravenous antibiotic treatment with meropenem and clindamycin was started. The lesions were cleaned daily using alginic acid and hydrocolloids. Dressing were changed daily in a sterile fashion. Glycemic control was achieved with regular insulin.

Follow-up and outcomes: there were no improvement with the treatment and podiatry was consulted. At this point, the lesions were described as confluent ulcers with central necrosis and surrounding hyperemia. A wider differential diagnosis was proposed including pyoderma gangrenosum (PG). Surgical debridement of the necrotic tissue was pursued (Figure 4) and skin biopsy was sent for anatomic pathological analysis.

 

Figure 4. Status after Surgical Debridement. There is evidence of subcutaneous cellular tissue and muscle aponeurosis compromise in some points
 

From this point forward, daily dressing changes were done using 0.05% topical Betamethasone combined with 0.1% Gentamicin cream. After three days, significant improvement was observed (Figure 5). This also correlated with improved inflammation and better glucose control (mean serum glucose 143mg/dl).

 


 
Figure 5. 3 days after the start of treatment with topical betamethasone/gentamicin with a considerable reduction of perilesional edema
 

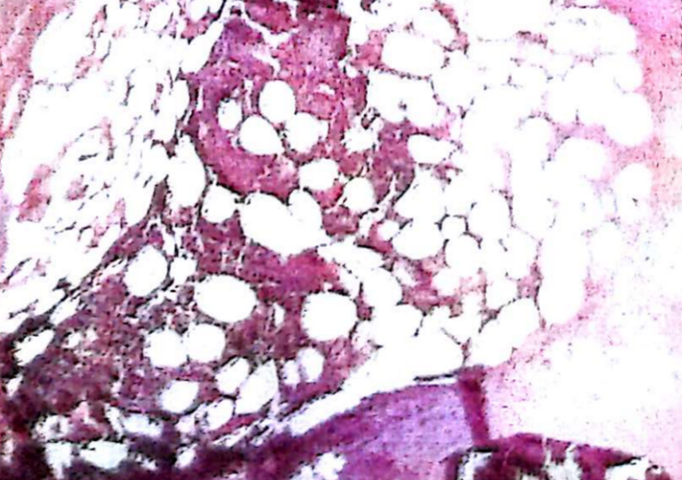
The biopsy reported inflammatory infiltrate of polymorphonuclear and mononuclear cells, as well as collagen hyalinization (Figure 6). These findings confirmed the diagnosis of PG. She is discharged 8 days after the treatment with Betamethasone dressings, and outpatient follow up of the lesions showed granulation tissue and appropriate healing (Figure 7).

 

 

Figure 6. Inflammatory infiltration of polymorphonuclear and mononuclear cells, fibrosis and hyalinization of collagen and elastic fibers, basal cell hyperplasia and hyperkeratosis with mild acanthosis, compatible with classical pyoderma gangrenous

 

 

Figure 7. 8 days after debridement. Maintaining the use of betamethasone/gentamicin. Granulation tissue is observed but edema persisting at the edges. This day the patient was discharged since clinical improvement was noticed, she was scheduled for outpatient follow-up

 

Discharge plan for this patient included continuation of topical steroids (Betamethasone cream) as monotherapy due to diabetes. Cleaning at home was done without antiseptic soap, only distilled water, before the dressings.

She was seen in the office once a week. During this visit, cleaning was done using hydrogen peroxide, non-iodinated soap, and partial debridement with a scalpel once a month (Figure 8).

 

 

Figure 8. 1 month after starting topical treatment. Abundant granulation tissue with fewer areas of fibrin, which was withdrawn with scalpel in the office, without presenting pathergy phenomenon

 

Lesions improved significantly, 85% of the ulcer was completely healed by the 8th month. She suffered a relapse due to interruption of therapy and loss to follow up with remission upon restarting local steroids (Figure 9).

 

 
Figure 9. Clinical progression 9 months after discharge.
 

Discussion

PG was first described by Brocq in 1916 (1) and then by Bursting et al. in 1930 as a skin disease they called Phagedenisme geometrique. A more specific description has been developed over the years, nowadays described as an ulcerative, noninfectious, gangrenous skin disease, caused by chronic inflammation and neutrophilic infiltration.

From the epidemiological stand point, this is an infrequent disorder. According to a Mayo Clinic case series, only 180 cases were diagnosed in a period of 53 years. However, its incidence is difficult to determine due to possible underdiagnosis and confusion with necrotizing vasculitides.

PG more commonly affects young and middle-aged adults, but has been described in all age groups. There are series reporting the same distribution by sex (7,8), but other authors report a higher prevalence in females of 2:1 (9,10). between the third and fifth decade of life.

Although its ethology is poorly defined, it is related to some autoimmune inflammatory diseases such as IBD, RA, Ankylosing Spondylitis, Systemic Lupus Erythematous and Sjogren's syndrome. It has been associated with lymphoproliferative disorders (Hairy Cell Leukemia, Acute Myeloblastic Leukemia), Monoclonal Gammopathy and other malignancies in more than 50% of the cases (11).

These associations suggest that derangements in the immune response are involved in the etiology of the disease. Many authors report a weak relationship between PG and DM (approximately 1% of cases), however, according to Melina Lois et al., there is a reported association in 12% of the cases (12).

In addition to the patient reported in this study, 3 more cases have been clinically diagnosed in a 12-year period. Both the reported patient and a male patient with a bilateral lesion were evaluated both by internal medicine and by traumatology before requesting our evaluation. In both cases, the possibility of above the knee amputation had been considered because they were considered as “irreversible” necrotizing vasculitis.

Diagnosis of PG is mostly clinical, and the main goal should be to rule out other similar skin conditions, making PG a diagnosis of exclusion. Skin biopsy plays a significant role ruling out differential diagnoses. There is no laboratory test to rule in, rule out or confirm PG diagnosis. The association with systemic diseased reviewed earlier can raise suspicion of PG nonetheless they do not coexist in 100% of cases as mentioned in previous sections. Clinical entities that can simulate PG include folliculitis, gonococcemia, furunculosis, erythema nodosum, vasculitis or thrombophlebitis (13).

Differential diagnosis include infection, malignancy, vasculitis, thick bites, arterial or venous insufficiency, antiphospholipid syndrome, factitious ulceration (self-infringed). It is important to clean the wounds before biopsies for culture, from the deep center of the wound to prevent colonization and falsely positive cultures as occurred with our patient where the first culture grew E. coli with the first sampling but after debridement and cleansing repeat cultures where negative (14).

It is always of paramount importance to obtain an accurate history and physical examination. This can rule out associated systemic diseases and explore other signs and symptoms that might have been unnoticed by the patient. Pertinent investigations include upper endoscopy and colonoscopy with biopsies, complete cell counts, peripheral smear, bone marrow aspirate, serum and urine protein electrophoresis, anticardiolipin antibodies, VDRL, PT/PTT, c-ANCA, p-ANCA in cases where IBD is suspected. C-ANCA can also suggest granulomatosis with polyangiitis (6). Other rare disorders such as Sweet Syndrome (neutrophilic dermatosis with subepidermal edema) might be suspected with abrupt onset of fever, painful erythematous papules. Drug reaction is suspected when pustules are present (15). Some of the implicated drugs are isotretinoin, GM-GSF, warfarin can produce similar lesions with necrosis. Medical interventions are aimed to relieve pain, treatment of underlying systemic disease and infections if they are present, and management of the skin lesion itself (treatments that target immune system and produce immunosuppression are the mainstay therapy).

The option of topical therapies should be always part of the management plan (as seen in our patient). Appropriate responses can be seen with topical therapy only, saving the patient from systemic side effects and future complications. Surgical debridement is only considered in selected patients with necrotic tissue who are also on immunosuppressive therapy to prevent pathergy.

Informed Consent

Before discharge, the patient signed an informed consent for the results to be shown academically.

Conflict of Relationship and Activities

The authors have no conflicts of interest to disclose.

Bibliographic References

1.      Acosta-García J, Aguilar-García CR. Pioderma gangrenoso. Med Int Méx [Internet]. 2014;30(1):92-8. Available in: https://www.medigraphic.com/cgi-bin/new/resumen.cgi?IDARTICULO=48345   Google Scholar

2.      Ferrándiz-Pulido C, García-Patos Briones V. Pioderma gangrenoso. Diagnóstico y tratamiento. Piel [Internet]. 2008;23(1):24-9. Available in: http://www.sciencedirect.com/science/article/pii/S0213925108709699  DOI: 10.1016/S0213-9251(08)70969-9   Google Scholar

3.      Ko C, Walton S, Wyatt E. Pyodermia gangrenosum: associations revisited. Int J Dermatol [Internet]. 1992;31(8):574-7. Available in: https://onlinelibrary.wiley.com/doi/abs/10.1111/j.1365-4362.1992.tb02723.x?sid=nlm%3Apubmed DOI: 10.1111/j.1365-4362.1992.tb02723.x PMID 1428451   Google Scholar

4.      Goreti Catorze M, Pereira F, Fonseca F, Morbey A, Assis Pacheco F. Pyoderma gangrenosum associated with sclerosing cholangitis, type 1 diabetes mellitus and ulcerative colitis. J Eur Acad Dermatology Venereol [Internet]. 2001;15(3):257-9. Available in: https://onlinelibrary.wiley.com/doi/abs/10.1046/j.1468-3083.2001.00260.x?sid=nlm%3Apubmed DOI: 10.1046/j.1468-3083.2001.00260.x PMID 1168329   Google Scholar

5.      Bertoló MS, Ruiz M, Contreras C. Pioderma gangrenoso: excelente respuesta a tratamiento tópico. Rev Med Chil [Internet]. 2015;143(1):130-1. Available in: https://scielo.conicyt.cl/scielo.php?script=sci_arttext&pid=S0034-98872015000100021&lng=en&nrm=iso&tlng=en DOI: 10.4067/S0034-98872015000100021 PMID 25860283   Google Scholar

6.      Ruiz A, Bravo F. Pioderma gangrenoso: reporte de un caso y revisión de la literatura. Folia Dermatol Peru [Internet]. 2006;17(2):82-9. Available in: http://sisbib.unmsm.edu.pe/BVRevistas/folia/vol17_N2/pdf/a07v17n2.pdf   Google Scholar

7.      Powell F, Schroeter A, Su W, Perry H. Pyoderma gangrenosum: a review of 86 patients. Q J Med [Internet]. 1985;55(217):173-86. Available in: https://pubmed.ncbi.nlm.nih.gov/3889978 PMID 3889978   Google Scholar

8.      Graham JA, Hansen KK, Rabinowitz LG, Esterly NB. Pyoderma Gangrenosum in Infants and Children. Pediatr Dermatol [Internet]. 1994;11(1):10-7. Available in: https://onlinelibrary.wiley.com/doi/abs/10.1111/j.1525-1470.1994.tb00065.x?sid=nlm%3Apubmed DOI: 10.1111/j.1525-1470.1994.tb00065.x PMID 8170841   Google Scholar

9.      Brunsting LA, Goeckerman WH, O’Leary PA. Pyoderma (Echthyma) Gangrenosum: clinical and experimental observations in five cases occurring in adults. Arch Derm Syphilol [Internet]. 1930;22(4):655-80. Available in: https://jamanetwork.com/journals/jamadermatology/article-abstract/505411   Google Scholar

10.    Callen JP. Pyoderma Gangrenosum and Related Disorders. Med Clin North Am [Internet]. 1989;73(5):1247-61. Available in: http://www.sciencedirect.com/science/article/pii/S0025712516306320 DOI: 10.1016/S0025-7125(16)30632-0 PMID 2671544   Google Scholar

11.    Kridin K, Cohen AD, Amber KT. Underlying Systemic Diseases in Pyoderma Gangrenosum: A Systematic Review and Meta-Analysis. Am J Clin Dermatol [Internet]. 2018;19(4):479-87. Available in: https://link.springer.com/article/10.1007%2Fs40257-018-0356-7 DOI: 10.1007/s40257-018-0356-7 PMID 29721816   Google Scholar

12.    Lois M, Pizzariello G, Olivares L, Maronna E. Estudio retrospectivo de pacientes con pioderma gangrenoso en un período de 20 años y revisión de la literatura. Dermatología Argentina [Internet]. 2012;18(2):16-23. Available in: http://www.dermatolarg.org.ar/index.php/dermatolarg/article/view/879/482   Google Scholar

13.    Cabrera AO. Pioderma Gangrenoso: Revisión de la literatura. Rev Med de Costa Rica y Centroamérica. [Internet]., 2010; 67. Available in: https://www.medigraphic.com/cgi-bin/new/resumen.cgi?IDARTICULO=28575   Google Scholar

14.    Ruocco E, Sangiuliano S, Gravina A, Miranda A, Nicoletti G. Pyoderma gangrenosum: an updated review. J Eur Acad Dermatology Venereol [Internet]. 2009;23(9):1008-17. Available in: https://onlinelibrary.wiley.com/doi/full/10.1111/j.1468-3083.2009.03199.x DOI: 10.1111/j.1468-3083.2009.03199.x PMID 19470075   Google Scholar

15.    Lama DF, Navarrete NN, Amaro BP, Berroeta MD. Actualización en tratamiento de pioderma gangrenoso: revisión de la literatura. Rev Chil Dermatol [Internet]. 2012;28(3):287-95. Available in: http://www.sochiderm.org/web/revista/28_3/5.pdf   Google Scholar

Authors' Contribution

TCA and BV: conceptualization. TAJ, MMS, RE, RW and PA: drafting-preparation of the original draft. SJ, GMC and RY: writing-review and editing. To define and establish the participation of the authors, the CRediT Taxonomy were used (for more information, see https://casrai.org/credit/).

©2020. Los Autores. Kasmera. Publicación del Departamento de Enfermedades Infecciosas y Tropicales de la Facultad de Medicina. Universidad del Zulia. Maracaibo-Venezuela. Este es un artículo de acceso abierto distribuido bajo los términos de la licencia Creative Commons atribución no comercial (https://creativecommons.org/licenses/by-nc-sa/4.0/) que permite el uso no comercial, distribución y reproducción sin restricciones en cualquier medio, siempre y cuando la obra original sea debidamente citada.